Ассоциация стоматологических клиник
Все свои Двигатель Революции

Стоматологическая клиника в 2 минутах от метро «Двигатель Революции»

проспект Ленина, дом 57а Смотреть на карте
с 8:00 до 21:00 ежедневно

Стоматология находится в 30 метрах от станции метро «Двигатель Революции». При выходе из метро вы увидите белое 9-этажное здание. Стоматология находится на 2-м этаже.

-
/5
Ваша оценка
Рассрочка

Выгодные предложения месяца

Работы наших врачей
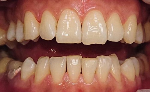
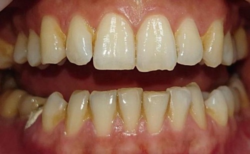
Удаление темного зубного налета
Чистка зубов от темного стойкого налета, мужчина 52 года.
Узнать больше
Удаление темного зубного налета До
Удаление темного зубного налета После
Протезирование коронками из диоксида циркония с использованием мостов
Установка коронок из диоксида циркония с использованием мостов из металлокерамики на имплантах, женщина 39 лет.
Узнать больше
Протезирование коронками из диоксида циркония с использованием мостов До
Протезирование коронками из диоксида циркония с использованием мостов После
Полное протезирование на зубных имплантах
Полное протезирование верхней и нижней челюсти при адентии с использованием зубных имплантов у женщины 58 лет.
Узнать больше
Полное протезирование на зубных имплантах До
Полное протезирование на зубных имплантах После
Лечение дисколорита зубов — профессиональная чистка
Лечение дисколорита зубов у мужчины 33 лет с помощью профессиональной чистки.
Узнать больше
Лечение дисколорита зубов — профессиональная чистка До
Лечение дисколорита зубов — профессиональная чистка После
Профилактика заболеваний пародонта — снятие зубных отложений
Снятие твердых зубных отложений в целях профилактики заболеваний пародонта у женщины 31 года.
Узнать больше
Профилактика заболеваний пародонта — снятие зубных отложений До
Профилактика заболеваний пародонта — снятие зубных отложений После
Лечение пародонтита средней тяжести
Лечение пародонтита средней тяжести у женщины 37 лет.
Узнать больше
Лечение пародонтита средней тяжести До
Лечение пародонтита средней тяжести После
Каждый пациент важен!
Самсонова Мария Александровна

Сочетание высококачественного обслуживания и приемлемых цен сегодня явление редкое. Но клиника «Дантисты» в Ленинском районе у метро Двигатель Революции соединила в себе 2 главных показателя отличной стоматологии — успешное лечение зубов и доступную стоимость услуг. Терапевты, хирурги, гигиенисты, ортодонты, ортопеды и имплантологи имеют средний опыт работы более 10 лет, ежегодно повышают квалификацию, посещают профильные конгрессы и конференции. Профессионализм стоматологов, а также использование современных технологий и оборудования позволяют гарантировать нашим пациентам положительный результат. И, конечно, низкие цены, оплата в рассрочку, скидки и акции делают наши услуги доступными для каждого.

Комфорт пациентов — для нас всегда на первом месте. Поэтому у нас нет живой очереди, которую исключает предварительная запись, а приятная атмосфера создает психологическое спокойствие перед процедурами.

Узнать больше
Свернуть описание
Самсонова Мария Александровна
Наши врачи
Самсонова Мария Александровна Смотреть
Самсонова Мария
Александровна
Главный врач, врач стоматолог-ортодонт
Алиев Азиз Интигамович Смотреть
Алиев Азиз
Интигамович
Гигиенист стоматологический
Бабаев Рамил Фамил Оглы Смотреть
Бабаев Рамил Фамил
Оглы
Врач стоматолог-ортопед
Грачев Александр Михайлович Смотреть
Грачев Александр
Михайлович
Врач стоматолог-хирург
Калинина Наталья Вячеславовна Смотреть
Калинина Наталья
Вячеславовна
Врач первичного приема, стоматолог-терапевт
Сильнов Денис Сергеевич Смотреть
Сильнов Денис
Сергеевич
Врач стоматолог-имплантолог, стоматолог-хирург
Всё ещё сомневаетесь?
Оставьте ваш номер телефона, специалист свяжется с вами в течение 3 минут.
Согласие на обработку моих персональных данных
Юр. Лицо:
ООО «Дент-Клиник»
Лицензия №
Л041-01164-52/00335033
Скачайте прайс лист
Скачать

Рассчитайте предварительную цену на любые услуги клиники онлайн за 20 секунд

Первый приём врача-стоматолога бесплатно!
Осталось
свободных мест
11