Ассоциация стоматологических клиник
Все свои улица Родионова Тубдиспансер

Стоматологическая клиника в 2 минутах от метро «Тубдиспансер»

ул. Родионова, дом 197 Смотреть на карте
с 08:00 до 21:00 ежедневно

Стоматология на улице Родионова находится в 100 метрах от остановки «Тубдиспансер», напротив супермаркета «Лента». Вы можете добраться к нам на маршрутке т63, т78, или т83.

-
/5
Ваша оценка
Рассрочка

Выгодные предложения месяца

Работы наших врачей
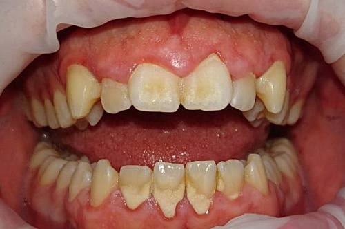
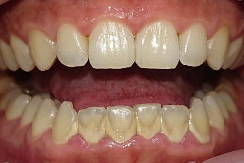
Установка виниров E-max

Пациентка обратилась с жалобой на жёлтый цвет эмали и белые пятна на передних зубах. Из предложенных вариантов лечения пациенткой был выбран самый быстрый и эстетичный — установка керамических виниров E-max.

Узнать больше
Установка виниров E-max До
Установка виниров E-max После
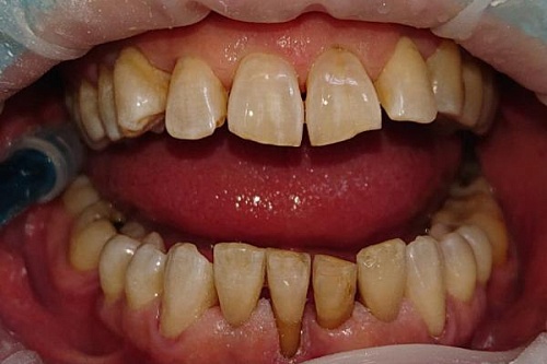
Профессиональная гигиена ультразвуком и Air Flow
Лечение зубов с использованием профессиональной гигиены, ультразвука и технологии Air Flow, мужчина 32 лет.
Узнать больше
Профессиональная гигиена ультразвуком и Air Flow До
Профессиональная гигиена ультразвуком и Air Flow После
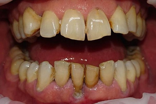
Удаление коричневого зубного налета
Профессиональная гигиена полости рта с целью удаления коричневого зубного налета у мужчины 37 лет.
Узнать больше
Удаление коричневого зубного налета До
Удаление коричневого зубного налета После
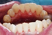
Снятие твердых зубных отложений ультразвуком
Удаление твердых зубных отложений ультразвуковой насадкой у девушки 27 лет.
Узнать больше
Снятие твердых зубных отложений ультразвуком До
Снятие твердых зубных отложений ультразвуком После
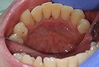
Лечение пародонтита аппаратом Вектор
Лечение генерализованного пародонтита аппаратом Вектор, мужчина 47 лет.
Узнать больше
Лечение пародонтита аппаратом Вектор До
Лечение пародонтита аппаратом Вектор После
Лечение гингивита
Лечение гингивита средней тяжести у женщины 35 лет.
Узнать больше
Лечение гингивита До
Лечение гингивита После
Каждый пациент важен!
Равоян Витали Адоевич

Приглашаем вас в стоматологическую клинику на улице Родионова. Наш приоритет — высокое качество услуг, при этом мы стараемся поддерживать приемлемый уровень цен, чтобы лечение, протезирование, отбеливание зубов и исправление прикуса были доступными для большинства жителей Нижнего Новгорода.

Мы лечим кариес без бормашины системой Icon, выполняем протезирование любой сложности (мостовидное, телескопическое, иммедиат), проводим безопасное отбеливание зубов Zoom 4, устанавливаем импланты различных ценовых категорий: от бюджетных до премиум класса. Следите за нашими акциями и скидками, чтобы сэкономить на стоматологическом лечении.

Наши специалисты регулярно участвуют в научно-практических семинарах, симпозиумах по имплантологии, восстановительному и эндодонтическому лечению. Совершенствуя свои навыки, они включают современные методики лечения в свою ежедневную практику.

Узнать больше
Свернуть описание
Равоян Витали Адоевич
Наши врачи
Равоян Витали Адоевич Смотреть
Равоян Витали
Адоевич
Главный врач, стоматолог-ортопед
Ахмедов Тимур Яверович Смотреть
Ахмедов Тимур
Яверович
Стоматолог-ортопед, хирург
Бунегина Кристина Викторовна Смотреть
Бунегина Кристина
Викторовна
Стоматолог-терапевт
Дончук Елизавета Евгеньевна Смотреть
Дончук Елизавета
Евгеньевна
Стоматолог-ортодонт
Ефимов Игорь Викторович Смотреть
Ефимов Игорь
Викторович
Стоматолог-имплантолог, хирург
Жабарова Людмила Анатольевна Смотреть
Жабарова Людмила
Анатольевна
Стоматолог-гигиенист
Всё ещё сомневаетесь?
Оставьте ваш номер телефона, специалист свяжется с вами в течение 3 минут.
Согласие на обработку моих персональных данных
Юр. Лицо:
ООО «ВитаДент»
Лицензия №
Л041-01164-52/00323306
Скачайте прайс лист
Скачать

Рассчитайте предварительную цену на любые услуги клиники онлайн за 20 секунд

Первый приём врача-стоматолога бесплатно!
Осталось
свободных мест
11