Ассоциация стоматологических клиник
Все свои Владимирская

Стоматологическая клиника в 2 минутах от метро «Владимирская»

улица Марата, дом 50 Смотреть на карте
с 9:00 до 22:00 ежедневно

Стоматология располагается в 7 минутах ходьбы от станции метро Владимирская. После выхода из метро двигайтесь прямо по Кузнечному переулку. Далее пересеките улицу Марата и следуйте по четной стороне до стоматологической клиники.

Рассрочка

Выгодные предложения месяца

Работы наших врачей
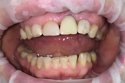
Тотальное протезирование коронками из диоксида циркония
Полное замещение отсутсвующих зубов коронками на имплантах у женщины 47 лет.
Узнать больше
Тотальное протезирование коронками из диоксида циркония До
Тотальное протезирование коронками из диоксида циркония После
Реставрация зуба пломбировочным материалом Estelite
Эстетическая реставрация верхнего центрального резца пломбировочным материалом Estelite у женщины 39 лет.
Узнать больше
Реставрация зуба пломбировочным материалом Estelite До
Реставрация зуба пломбировочным материалом Estelite После
Хирургическое лечение пульпита зуба
Лечение пульпита зуба методом девитальной ампутации у женщины 35 лет. На рентгеновских снимках показано состояние зуба до и после удаления пульпы.
Узнать больше
Хирургическое лечение пульпита зуба До
Хирургическое лечение пульпита зуба После
Реставрация жевательных зубов материалом Filtek Ultimate
Реставрация жевательных поверхностей нижних моляров пломбировочным материалом Filtek Ultimate у женщины 37 лет.
Узнать больше
Реставрация жевательных зубов материалом Filtek Ultimate До
Реставрация жевательных зубов материалом Filtek Ultimate После
Каждый пациент важен!
Карасева Кира Валериевна
Узнать больше
Свернуть описание
Карасева Кира Валериевна
Наши врачи
Битарова Светлана Казбековна Смотреть
Битарова Светлана
Казбековна
Врач стоматолог-терапевт
Бичиашвили Олиа Автандиловна Смотреть
Бичиашвили Олиа
Автандиловна
Врач стоматолог-ортопед
Врач стоматолог-ортопед Смотреть
Врач
стоматолог-ортопед
Врач стоматолог-имплантолог
Карасева Кира Валериевна Смотреть
Карасева Кира
Валериевна
Главный врач, врач стоматолог-хирург
Всё ещё сомневаетесь?
Оставьте ваш номер телефона, специалист свяжется с вами в течение 3 минут.
Согласие на обработку моих персональных данных
Юр. Лицо:
ООО "ЛА-ДЕНТ"
Лицензия №
Л041-01148-78/00331270

Рассчитайте предварительную цену на любые услуги клиники онлайн за 20 секунд

Первый приём врача-стоматолога бесплатно!
Осталось
свободных мест
11