Все свои Профсоюзная

Стоматологическая клиника в 2 минутах от станции метротрам «Профсоюзная»

ул. Рабоче-Крестьянская, дом 5 Смотреть на карте
с 08:00 до 21:00 ежедневно

Стоматология расположена в 2 минутах ходьбы от станции метротрам «Профсоюзная». Выбирайте выход к Ворошиловскому торговому центру. Далее двигайтесь вдоль ТЦ по нечетной стороне Рабоче-крестьянской улицы в направлении центра города, пересеките улицу КИМ и пройдите ещё 80 метров в том же направлении.

-
/5
Ваша оценка
Рассрочка

Выгодные предложения месяца

Работы наших врачей
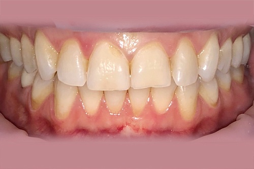
Протезирование фронтальных зубов коронками на имплантах
Установка коронок на зубы и импланты, пациент 47 лет.
Узнать больше
Протезирование фронтальных зубов коронками на имплантах До
Протезирование фронтальных зубов коронками на имплантах После
Установка на зубы виниров E-max
Установка 24 винира E-max цвета Bleach, женщина 34 года.
Узнать больше
Установка на зубы виниров E-max До
Установка на зубы виниров E-max После
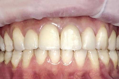
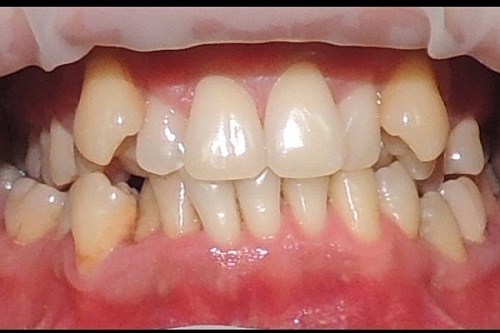
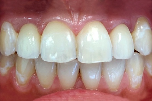
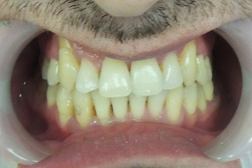
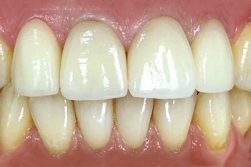
Протезирование зубов керамическими коронками
Установка 4-х керамических коронок, мужчина 52 года.
Узнать больше
Протезирование зубов керамическими коронками До
Протезирование зубов керамическими коронками После
Лечение скученности зубов брекетами In Ovation R
Установка металлических самолигирующих брекетов In Ovation R на верхнюю и нижнюю челюсть при скученности зубов из-за дефицита места в зубном ряду у мужчины 31 года.
Узнать больше
Лечение скученности зубов брекетами In Ovation R До
Лечение скученности зубов брекетами In Ovation R После
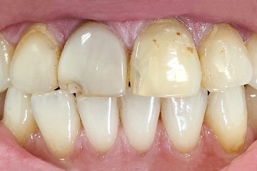
Восстановление верхнего центрального резца коронкой
Протезирование верхнего центрального резца коронкой на культевой вкладке у женщины 30 лет.
Узнать больше
Восстановление верхнего центрального резца коронкой До
Восстановление верхнего центрального резца коронкой После
Реставрация сколов передних зубов
Восстановление сколов режущего края передних зубов у женщины 32 лет.
Узнать больше
Реставрация сколов передних зубов До
Реставрация сколов передних зубов После
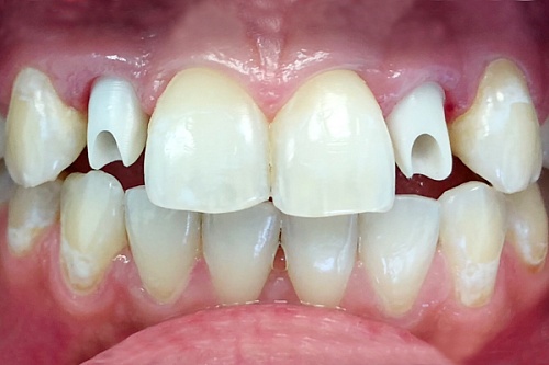
Установка зубных коронок на культевых вкладках
Протезирование верхней челюсти путем установки зубных коронок на культевых вкладках у женщины 61 года.
Узнать больше
Установка зубных коронок на культевых вкладках До
Установка зубных коронок на культевых вкладках После
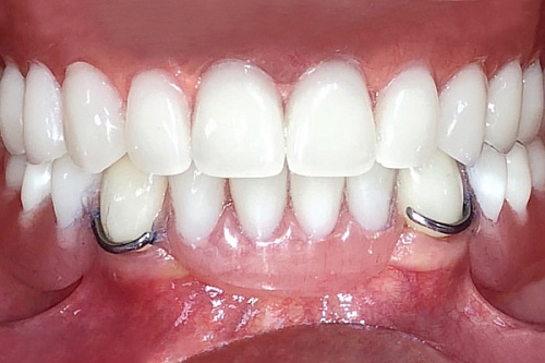
Установка протезов на обе челюсти
Установка съёмного протеза на балках на верхнюю челюсть и частичного съемного протеза с опорой на коронки на нижнюю, женщина 68 лет.
Узнать больше
Установка протезов на обе челюсти До
Установка протезов на обе челюсти После
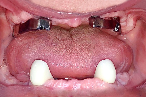
Протезирование коронками на имплантатах
Установка коронок на имплантах, женщина 29 лет.
Узнать больше
Протезирование коронками на имплантатах До
Протезирование коронками на имплантатах После
Каждый пациент важен!
Садыжанов Бори Бориевич

Стоматологическая клиника «Дантисты» на Рабоче-Крестьянской улице предлагает широкий спектр услуг терапевтической, эстетической, хирургической и ортопедической стоматологии. Вы можете установить протез на имплантах, различные виды брекетов и элайнеры, пройти лечение десен. На все виды работ предоставляется гарантия. Клиника открыта ежедневно с 8 утра до 9 вечера, поэтому вы можете вылечить зуб до или после работы в удобное для себя время.

Важной особенностью стоматологии является присутствие индивидуальных координаторов, которые обеспечат вам комфорт на протяжении всего периода лечения, напоминая о визите, помогая в соблюдении рекомендаций врача и отвечая на все возникающие вопросы.

Мы установили доступные цены на услуги, а также систему скидок и акций, предоставили возможность оплаты в рассрочку. Запишитесь на бесплатную первичную консультацию и пройдите качественное лечение не в ущерб кошельку.

Узнать больше
Свернуть описание
Садыжанов Бори Бориевич
Наши врачи
Садыжанов Бори Бориевич Смотреть
Садыжанов Бори
Бориевич
Главный врач, стоматолог-хирург
Бекеев Сергей Вячеславович Смотреть
Бекеев Сергей
Вячеславович
Стоматолог-ортопед
Бабаев Магомед Хейруллаевич Смотреть
Бабаев Магомед
Хейруллаевич
Стоматолог-гигиенист
Алиев Ульву Тавакгюль Оглы Смотреть
Алиев Ульву Тавакгюль
Оглы
Стоматолог-терапевт
Майер Марина Владимировна Смотреть
Майер Марина
Владимировна
Стоматолог-ортодонт
Соломатин Михаил Михайлович Смотреть
Соломатин Михаил
Михайлович
Кандидат медицинский наук, Главный имплантолог, стоматолог-имплантолог, хирург
Соломатина Елена Сергеевна Смотреть
Соломатина Елена
Сергеевна
Стоматолог-пародонтолог
Всё ещё сомневаетесь?
Оставьте ваш номер телефона, специалист свяжется с вами в течение 3 минут.
Согласие на обработку моих персональных данных
Юр. Лицо:
ООО «АКАДЕМИЯ»
Лицензия №
Л041-01146-34/00140914
Скачайте прайс лист
Скачать

Рассчитайте предварительную цену на любые услуги клиники онлайн за 20 секунд

Первый приём врача-стоматолога бесплатно!
Осталось
свободных мест
11