Стоматологическая клиника в 2 минутах от метро «Улица Академика Янгеля»

Варшавское шоссе, 152, корп. 2 Смотреть на карте
с 8:00 до 21:00 ежедневно
Стоматология «Дантисты» расположена в 5 минутах ходьбы от метро «Улица Академика Янгеля». Первый вагон из центра, выход № 1. После выхода из метро развернуться и пойти вдоль Варшавского шоссе. Пройти мимо низкого красного здания, после «Пятёрочки» повернуть направо, вход в нашу клинику после вывески «Адвокаты».
-
/5
Ваша оценка
Рассрочка

Выгодные предложения месяца

Работы наших врачей
Осветление зубной эмали профессиональной системой ZOOM
Применение профессиональной системы ZOOM, включающей обработку активным отбеливающим веществом зоны улыбки, для устранения желтизны зубной эмали у девушки 27 лет.
Узнать больше
Осветление зубной эмали профессиональной системой ZOOM До
Осветление зубной эмали профессиональной системой ZOOM После
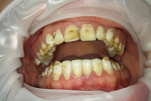
Чистка пигментированного зубного налета
Профессиональная гигиена ротовой полости у женщины 44 лет для снятия пигментированного зубного налета.
Узнать больше
Чистка пигментированного зубного налета До
Чистка пигментированного зубного налета После
Установка керамических виниров
Установка керамических виниров 360 цвета Bleach мужчине 32 лет.
Узнать больше
Установка керамических виниров До
Установка керамических виниров После
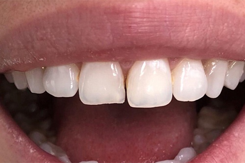
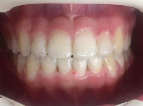
Исправление верхних центральных зубов
Установка 2 керамических виниров на центральные зубы женщине 27 лет.
Узнать больше
Исправление верхних центральных зубов До
Исправление верхних центральных зубов После
Выравнивание зубов металлическими брекетами Damon Q
Установка металлических брекетов Damon Q на верхнюю и нижнюю челюсть для исправления положения зубов у девушки 25 лет.
Узнать больше
Выравнивание зубов металлическими брекетами Damon Q До
Выравнивание зубов металлическими брекетами Damon Q После
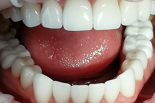
Установка протезов с телескопическими коронками
Протезирование верхней и нижней челюстей телескопическими зубными коронками у мужчины 45 лет.
Узнать больше
Установка протезов с телескопическими коронками До
Установка протезов с телескопическими коронками После
Пломбирование жевательного зуба при лечении кариеса
Лечение жевательного зуба, пораженного кариозным процессом, у женщины 43 лет.
Узнать больше
Пломбирование жевательного зуба при лечении кариеса До
Пломбирование жевательного зуба при лечении кариеса После
Каждый пациент важен!
Макова Алла Камаевна
Главный врач, врач первичного приема

Стоматология «Дантисты» на Варшавском шоссе расположена в 5 минутах ходьбы от станции метро «Улица Академика Янгеля». В нашей клинике работает дружная команда врачей различных профилей: стоматологи-терапевты, ортодонты, хирурги-имплантологи, ортопеды. Специалисты стоматологии регулярно проходят курсы повышения квалификации и участвуют в международных программах подготовки стоматологов. Мы особенно гордимся нашим детским отделением стоматологии, потому что умеем лечить кариес без боли, а также проводим коррекцию прикуса максимально быстро и комфортно для ребенка.

Узнать больше
Свернуть описание
Макова Алла Камаевна
Видеоотзывы
Отзыв о стоматологии у метро Улица Академика Янгеля
Всё ещё сомневаетесь?
Оставьте ваш номер телефона, специалист свяжется с вами в течение 3 минут.
Согласие на обработку моих персональных данных
Юр. Лицо:
ООО «СТОМАТОЛОГИЯ»
Лицензия №
ЛО-77-01-021363
Скачайте прайс лист
Скачать

Рассчитайте предварительную цену на любые услуги клиники онлайн за 20 секунд

Первый приём врача-стоматолога бесплатно!
Осталось
свободных мест
11