Стоматологическая клиника в 2 минутах от метро «Алексеевская»

ул. Большая Марьинская, д.11 Смотреть на карте
с 8:00 до 21:00 ежедневно
Стоматология на Алексеевской расположена в 2 минутах от метро. Вам нужно подняться по эскалатору на улицу и перейти на противоположную сторону проспекта Мира.
Из подземного перехода выход направо, идти по Проспекту Мира за дом 97 (он остаётся по правую руку). Далее идти в сторону палатки Овощной №1. Затем повернуть направо и идти 15 метров к дорожке справа, которая ведет налево. Повернуть и пройти вдоль забора до конца до Большой Марьинской улицы. Снова повернуть и идти до дома №11.
-
/5
Ваша оценка
Рассрочка

Выгодные предложения месяца

Работы наших врачей
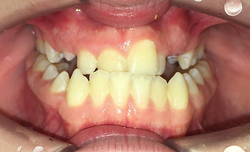
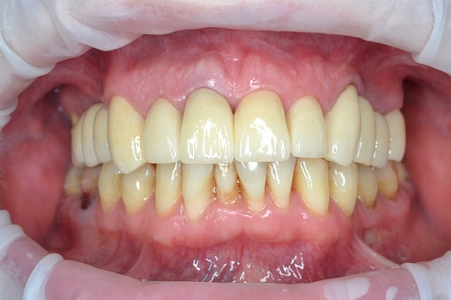
Коррекция сложного случая искривления зубов
Пациентка, 27 лет. Тяжелые аномалии прикуса, смещения зубных единиц, скученность на нижней челюсти. Курс лечения элайнерами занял 2 года.
Узнать больше
Коррекция сложного случая искривления зубов До
Коррекция сложного случая искривления зубов После
Лечение патологии прикуса элайнерами
Пациентка 18 лет. Лечение патологий прикуса при помощи элайнеров. Срок — 19 месяцев.
Узнать больше
Лечение патологии прикуса элайнерами До
Лечение патологии прикуса элайнерами После
Отбеливание зубов по технологии Zoom 4
Пациентке было выполнено бережное отбеливание зубов Philips Zoom White Speed (Zoom4). Добиться желаемого оттенка удалось всего за 1 процедуру.
Узнать больше
Отбеливание зубов по технологии Zoom 4 До
Отбеливание зубов по технологии Zoom 4 После
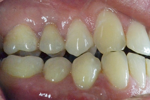
Протезирование с помощью циркониевых коронок с керамическим покрытием
Пациент обратился с жалобами на частичное отсутствие зубов, износ старой конструкции и неудовлетворительную эстетику. В качестве метода лечения были выбраны безметалловые керамические коронки на диоксиде циркония. До начала протезирования были устранены очаги кариеса, частично перепломбированы зубы.
Узнать больше
Протезирование с помощью циркониевых коронок с керамическим покрытием До
Протезирование с помощью циркониевых коронок с керамическим покрытием После
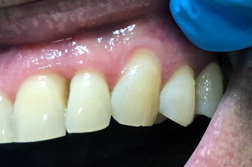
Пластика рецессии десны
Пациент обратился с жалобой на чувствительность зуба, после диагностики была выполнена пересадка соединительно-тканного трансплантата в области рецессии 23 зуба.
Узнать больше
Пластика рецессии десны До
Пластика рецессии десны После
Рецессия на нижней челюсти
Пациента беспокоила повышенная чувствительность на холодное и кислое в данном участке. При отсутствии своевременного лечения существовал риск оголения корня. Была произведена пересадка соединительно-тканного трансплантата и пластика рецессии десны. Корень был закрыт собственными мягкими тканями. Отмечается значительное утолщение биотипа, что исключает возможности рецидива рецессии десны.
Узнать больше
Рецессия на нижней челюсти До
Рецессия на нижней челюсти После
Каждый пациент важен!
Чижова Яна Сергеевна
Главный врач, врач первичного приема

Стоматологическая клиника на Большой Марьинской расположена в 5 минутах ходьбы от станции метро Алексеевская. Мы принимаем взрослых пациентов и детей с 14 лет. Практикуем все виды стоматологических услуг, от лечения кариеса без бормашины до имплантации под наркозом. В нашем арсенале инновационные методы имплантации зубов, в том числе экспресс-методом All-on-4.

Для точной диагностики стоматологи используют высокотехнологичное рентгеновское оборудование, исключающее риск ошибки. Чтобы сохранить максимум здоровых тканей при эндодонтическом лечении, мы проводим его под дентальным микроскопом. Прием ведется в просторных светлых кабинетах, оснащенными удобными креслами для пациента и стоматологическими установками премиум-класса.

Стоимость наших услуг приятно порадует вас: вы можете оплатить лечение в рассрочку без процентов, воспользоваться накопительными бонусами и спецпредложениями.

Узнать больше
Свернуть описание
Чижова Яна Сергеевна
Видеоотзывы
Отзыв о стоматологии у метро Алексеевская
Всё ещё сомневаетесь?
Оставьте ваш номер телефона, специалист свяжется с вами в течение 3 минут.
Согласие на обработку моих персональных данных
Юр. Лицо:
ООО «Стоматология на Алексеевской»
Лицензия №
ЛО-77-01-020792
Скачайте прайс лист
Скачать

Рассчитайте предварительную цену на любые услуги клиники онлайн за 20 секунд

Первый приём врача-стоматолога бесплатно!
Осталось
свободных мест
11