Стоматологическая клиника в 2 минутах от метро «Бибирево»

ул. Пришвина, дом 17 Смотреть на карте
с 8:00 до 21:00 ежедневно
Стоматология «Все свои!» в Бибирево находится в 5 минутах ходьбы от метро. Чтобы добраться до клиники, выбирайте первый вагон из центра, выходы №5 или №6. На выходе из метро поверните налево и пройдите прямо до светофора. Далее двигайтесь по улице Пришвина до дома №17, ориентир — магазин ВкусВилл. Вход в клинику расположен с торца здания.
-
/5
Ваша оценка
Рассрочка
Все свои Бибирево
Все свои Бибирево
Все свои Бибирево
Все свои Бибирево
Все свои Бибирево
Все свои Бибирево
Все свои Бибирево
Все свои Бибирево
Все свои Бибирево
Все свои Бибирево
Все свои Бибирево
Все свои Бибирево

Выгодные предложения месяца

Работы наших врачей
Лечение кариеса молочного зуба после удаления соседнего
Лечение кариеса молочного зуба после удаления соседнего у мальчика 7 лет.
Узнать больше
Лечение кариеса молочного зуба после удаления соседнего До
Лечение кариеса молочного зуба после удаления соседнего После
Исправление прикуса брекетам Damon Q и Damon Clear
Исправление прикуса комбинированной брекет-системой Ormco у девушки 19 лет, на нижнюю челюсть установлены Damon Q, на верхнюю – Damon Clear.
Узнать больше
Исправление прикуса брекетам Damon Q и Damon Clear До
Исправление прикуса брекетам Damon Q и Damon Clear После
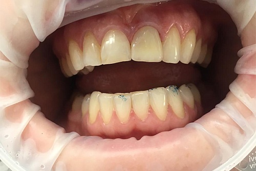
Установка одиночной коронки на зуб
Восстановление коронковой части зуба у женщины 41 года.
Узнать больше
Установка одиночной коронки на зуб До
Установка одиночной коронки на зуб После
Тотальная реконструкция улыбки с помощью имплантов и керамических коронок E-max
Пациентка обратилась с проблемой частичной адентии и подвижности оставшихся зубов. Из-за подвижности пришлось удалить все оставшиеся зубы и установить имплантаты Ankylos. По 8 имплантов на ВЧ и НЧ. Коронки из диоксида циркония с нанесением керамики E-max.
Узнать больше
Тотальная реконструкция улыбки с помощью имплантов и керамических коронок E-max До
Тотальная реконструкция улыбки с помощью имплантов и керамических коронок E-max После
Отбеливание зубов системой Philips Zoom white speed
Пациент обратился с жалобами на потемнение зубной эмали и на желтизну зубов. Была выбрана система отбеливания зубов Philips Zoom white speed.
Узнать больше
Отбеливание зубов системой Philips Zoom white speed До
Отбеливание зубов системой Philips Zoom white speed После
Чистка зубов пескоструйным аппаратом Эйр Флоу
Пескоструйная чистка зубной эмали от твердых и мягких отложений у девушки 27 лет.
Узнать больше
Чистка зубов пескоструйным аппаратом Эйр Флоу До
Чистка зубов пескоструйным аппаратом Эйр Флоу После
Каждый пациент важен!
Иванов Петр Вячеславович
Врач стоматолог-имплантолог, врач стоматолог-хирург

Стоматологическая клиника «Дантисты» у метро Бибирево работает для вас ежедневно с 08:00 до 23:00. Располагает технологическим оснащением, позволяющим браться даже за сложные клинические случаи: бесшумные стоматологические установки, ортопантомограф, интраоральная камера. Но самое важное — это опытные стоматологи, среди которых есть врачи высшей категории и специалисты, успешно практикующие более 10 лет.

Мы уверены, что к решению проблем с зубами необходимо подходить комплексно. С каждым из наших пациентов работает целая команда, в которую входят специалисты различных направлений. Вы получаете весь спектр стоматологических услуг, необходимых в вашем клиническом случае. Во время лечения зубов вас сопровождает администратор, он поможет записаться на прием, напомнит о предстоящем визите, сделает ваше пребывание в клинике комфортным.
Воспользуйтесь специальными предложениями клиники и пройдите лечение по сниженной цене.

Узнать больше
Свернуть описание
Иванов Петр Вячеславович
Видеоотзывы
Отзыв о стоматологии у метро Бибирево
Всё ещё сомневаетесь?
Оставьте ваш номер телефона, специалист свяжется с вами в течение 3 минут.
Согласие на обработку моих персональных данных
Юр. Лицо:
ООО «СТОМ»
Лицензия №
ЛО-77-01-021672
Скачайте прайс лист
Скачать

Рассчитайте предварительную цену на любые услуги клиники онлайн за 20 секунд

Первый приём врача-стоматолога бесплатно!
Осталось
свободных мест
11