Стоматологическая клиника в 2 минутах от метро «Бульвар Дмитрия Донского»

ул. Коктебельская, д. 2, к. 1 Смотреть на карте
с 8:00 до 21:00 ежедневно

Стоматология расположена в 5 минутах от станции метро «Бульвар Дмитрия Донского». При выходе из вагона метро поверните налево, далее в переходе – направо, затем поднимайтесь по лестнице, выходите налево – на Старокачаловскую улицу. На круге поверните направо и двигайтесь прямо вдоль рынка «Квадрат», далее увидите автомагазин «Русь» и «СберБанк». После «Сбербанка» на пересечении Старокачаловской и Коктебельской улиц поверните направо. В первом доме после поворота расположена наша стоматологическая клиника. Ориентир – соседняя клиника «Московский доктор».

-
/5
Ваша оценка
Рассрочка

Выгодные предложения месяца

Работы наших врачей
Установка безметалловых коронок
Установка безметалловых коронок фронтального отдела верхней челюсти, пациентка 34 года.
Узнать больше
Установка безметалловых коронок До
Установка безметалловых коронок После
Установка полного и частичного съёмного протезов

У пациентки 70 лет наблюдалась полная адентия нижней и верхней челюстей. Выполнено протезирование полным съемным протезом верхней челюсти и частично съемным протезом нижней челюсти.

Узнать больше
Установка полного и частичного съёмного протезов До
Установка полного и частичного съёмного протезов После
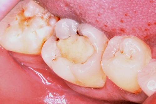
Лечение кариеса материалом Estelite Sigma Quick

При плановом осмотре пациента была обнаружена неудовлетворительного качества пломба с признаками вторичного кариеса. Рекомендовано снять старую пломбу, почистить зуб от кариеса и установить новую пломбу. Зуб был восстановлен с помощью материала Estelite Sigma Quick.

Узнать больше
Лечение кариеса материалом Estelite Sigma Quick До
Лечение кариеса материалом Estelite Sigma Quick После
Устранение трем и диастем при помощи виниров E-max

Пациентка обратилась с жалобой на крупные межзубные промежутки. Лечение было проведено с помощью керамических виниров E-max.

Узнать больше
Устранение трем и диастем при помощи виниров E-max До
Устранение трем и диастем при помощи виниров E-max После
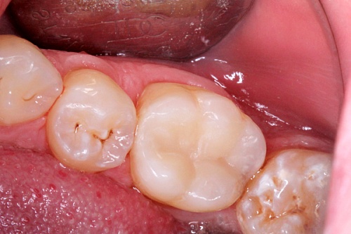
Лечение кариеса материалом Estelite Palfique

Пациентка обратилась с жалобой на неудовлетворительный вид старой пломбы. Изолировали зуб коффердамом, удалили старую пломбу, почистили зуб от кариеса. Затем восстановили зуб материалом Estelite Palfique, что которые обеспечивает защиту от проникновения микроорганизмов.

Узнать больше
Лечение кариеса материалом Estelite Palfique До
Лечение кариеса материалом Estelite Palfique После
Каждый пациент важен!
Абрамян Анна Вачиковна
Главный врач, стоматолог-терапевт

Мы ждем вас в семейной стоматологии «Дантисты» на Бульваре Дмитрия Донского. Наша клиника открыта ежедневно с раннего утра до позднего вечера, чтобы вы могли прийти на прием в комфортное для вас время. Для дополнительного удобства мы отказались от живых очередей, сделав выбор в пользу предварительной записи. Это важно не только нашим пациентам, но и специалистам, которые могут, не спеша, максимально эффективно проводить лечение зубов.

Мы уверены, что с нами вы решите любую зубную проблему. В клинике открыты кабинеты терапевта, ортопеда, имплантолога, хирурга, ортодонта и гигиениста. У нас работает и детская стоматология, специалисты которой ждут маленьких пациентов от 4 лет. В кабинете детского стоматолога приятная и комфортная атмосфера, а во время процедур ребенок может смотреть его любимые мультфильмы.


Узнать больше
Свернуть описание
Абрамян Анна Вачиковна
Наши врачи
Абрамян Анна Вачиковна Смотреть
Абрамян Анна
Вачиковна
Главный врач, стоматолог-терапевт
Анистратова Светлана Игоревна Смотреть
Анистратова Светлана
Игоревна
Кандидат медицинских наук, детский стоматолог
Галата Евгения Александровна Смотреть
Галата Евгения
Александровна
Стоматолог-пародонтолог, стоматолог-хирург
 Гвасалия Георгий Мамукаевич Смотреть
Гвасалия Георгий
Мамукаевич
Стоматолог-ортопед
 Гусейнов Ниджат Айдынович Смотреть
Гусейнов Ниджат
Айдынович
Стоматолог-терапевт
Ивашенцев Владимир Владимирович Смотреть
Ивашенцев Владимир
Владимирович
Стоматолог-ортопед
Еремин Дмитрий Александрович Смотреть
Еремин Дмитрий
Александрович
Стоматолог-имплантолог
 Ерохин Максим Владимирович Смотреть
Ерохин Максим
Владимирович
Стоматолог-хирург, имплантолог
Куванова (Кузьменко) Мария Игоревна Смотреть
Куванова (Кузьменко) Мария
Игоревна
Стоматолог-ортодонт
Курашева Зайнаб Хаджимурадовна Смотреть
Курашева Зайнаб
Хаджимурадовна
Стоматолог-ортодонт
Кузнецова Галина Юрьевна Смотреть
Кузнецова Галина
Юрьевна
Гигиенист стоматологический
Точиев Идрис Джамалилович Смотреть
Точиев Идрис
Джамалилович
Стоматолог-пародонтолог
Петрухин Алексей Михайлович Смотреть
Петрухин Алексей
Михайлович
Стоматолог-хирург
Видеоотзывы
Отзыв о стоматологии у метро Бульвар Дмитрия Донского
Всё ещё сомневаетесь?
Оставьте ваш номер телефона, специалист свяжется с вами в течение 3 минут.
Согласие на обработку моих персональных данных
Юр. Лицо:
ООО «НИКА»
Лицензия №
ЛО-77-01-018881
Скачайте прайс лист
Скачать

Рассчитайте предварительную цену на любые услуги клиники онлайн за 20 секунд

Первый приём врача-стоматолога бесплатно!
Осталось
свободных мест
11