Стоматологическая клиника в 2 минутах от метро «Лермонтовский проспект»

ул. Привольная, дом 1, корп. 1 Смотреть на карте
с 8:00 до 21:00 ежедневно
Стоматология «Дантисты» на Лермонтовский проспекте расположена в 5 минутах ходьбы от метро. Последний вагон из центра, из стеклянных дверей направо, выход №6. После выхода из метро повернуть налево (перейти по пешеходному переходу), повернуть направо и двигаться прямо по Лермонтовскому проспекту в сторону МКАДа. Мы находимся на улице Привольная дом. 1, корп. 1.
-
/5
Ваша оценка
Рассрочка

Выгодные предложения месяца

Работы наших врачей
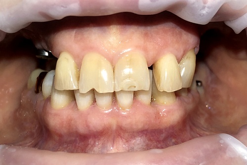
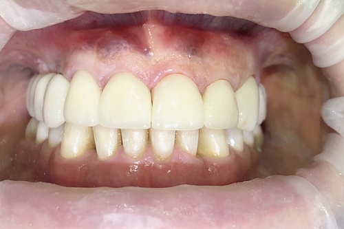
Комплексное лечение по восстановлению высоты прикуса и устранение последствий стираемости зубов
Пациентка обратилась с жалобами на стираемость жевательных зубов нижней челюсти, а также уменьшение высоты нижней трети лица. После диагностики было принято решение установить виниры из прессованной керамики Е-max. В ходе работы были заменены старые несостоятельные пломбы, все зубы удалось сохранить живыми (без удаления нерва).
Узнать больше
Комплексное лечение по восстановлению высоты прикуса и устранение последствий стираемости зубов До
Комплексное лечение по восстановлению высоты прикуса и устранение последствий стираемости зубов После
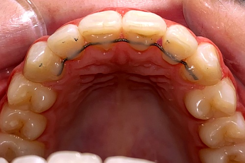
Исправление прикуса брекетами Damon
Пациентка обратилась с желанием выровнять зубы. У девочки наблюдалась дистальная окклюзия, скученное положение зубов и дефицит места для постоянных. Проведено лечение на брекет-системе Damon. Срок лечения 22 месяца.
Узнать больше
Исправление прикуса брекетами Damon До
Исправление прикуса брекетами Damon После
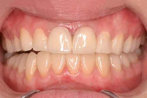
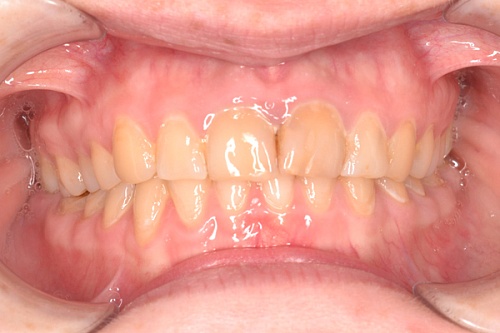
Установка виниров на фронтальные зубы и коронок из диоксида циркония на имплантах
Пациентка обратилась с жалобами на эстетику и отсутствие зубов, также на боли в области 38 зуба. Было диагностировано частичное вторичное отсутствие зубов, а также аномалии развития зубочелюстной системы, осложненные зубочелюстными деформациями. Пациентке провели комплексную работу по восстановлению улыбки: терапевтическое лечение, имплантацию, установку виниров.
Узнать больше
Установка виниров на фронтальные зубы и коронок из диоксида циркония на имплантах До
Установка виниров на фронтальные зубы и коронок из диоксида циркония на имплантах После
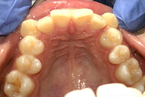
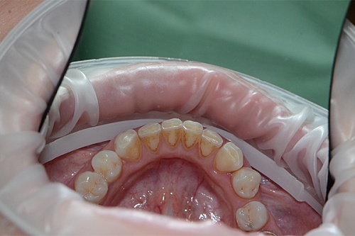
Установка коронки на имплант из диоксида циркония
Установка коронки на имплант Альфа Био из диоксида циркония для восстановления утраченной единицы зубного ряда у женщины 30 лет. На фотографиях показано состояние зубных рядов на этапе формирования контура прорезывания, результат установки формирователя десны.
Узнать больше
Установка коронки на имплант из диоксида циркония До
Установка коронки на имплант из диоксида циркония После
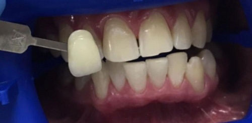
Отбеливание зубов офисной системой Zoom 4
Устранение желтизны зубов с помощью системы профессионального отбеливания Zoom 4 у девушки 25 лет.
Узнать больше
Отбеливание зубов офисной системой Zoom 4 До
Отбеливание зубов офисной системой Zoom 4 После
Удаление зубного налета с помощью профгигиены
Проведение профессиональной гигиены зубов мужчине 34 лет.
Узнать больше
Удаление зубного налета с помощью профгигиены До
Удаление зубного налета с помощью профгигиены После
Каждый пациент важен!
Коростелев Александр Андреевич
Главный врач, врач первичного приема, стоматолог-ортопед

Стоматология «Дантисты» на улице Привольной расположена в 5 минутах ходьбы от метро Лермонтовский проспект. Здесь вы найдете качественное лечение по доступным ценам. Изготовим надежные и эстетичные коронки и протезы всего за 7-14 дней. Проведем пластику костной ткани перед имплантацией зубов. Во время лечения мы стараемся сохранить здоровые ткани зуба, прибегая к удалению только в крайних случаях. Мы также оказываем все виды ортодонтического лечения, эстетической и профилактической стоматологии.

Рады предложить вам услуги детского стоматолога: вылечим кариес без бормашины, исправим прикус, проведем профилактическую чистку и научим ребенка правильно ухаживать за полостью рта.

В нашей клинике вас встретит вежливый и чуткий администратор, который будет сопровождать вас на всех этапах лечения, напомнит о времени следующего визита. Ожидая врача, отдохните на удобном диване, выпейте теплый напиток. Мы ждем вас ежедневно с с 8.00 до 23.00.

Узнать больше
Свернуть описание
Коростелев Александр Андреевич
Видеоотзывы
Отзыв о стоматологии у метро Лермонтовский проспект
Всё ещё сомневаетесь?
Оставьте ваш номер телефона, специалист свяжется с вами в течение 3 минут.
Согласие на обработку моих персональных данных
Юр. Лицо:
ООО «СТОМАТОЛОГИЯ В ЖУЛЕБИНО»
Лицензия №
ЛО-77-01-020972
Скачайте прайс лист
Скачать

Рассчитайте предварительную цену на любые услуги клиники онлайн за 20 секунд

Первый приём врача-стоматолога бесплатно!
Осталось
свободных мест
11