Стоматологическая клиника в 2 минутах от метро «Люблино»

ул. Новороссийская, дом 28 Смотреть на карте
с 8:00 до 21:00 ежедневно

Стоматология расположена в 3 минутах от метро Люблино. Первый вагон из центра, выход № 1. Выйдя из метро, повернуть направо и пройти между ТЦ «Знатный» и ТЦ «Люблино» и снова свернуть направо. Дойти до пешеходного перехода и перейти на другую сторону улицы. Мы находимся в 17-этажном красно-белом доме.

Принимаем взрослых и детей.

4.5
/5
Ваша оценка
Рассрочка

Выгодные предложения месяца

Работы наших врачей
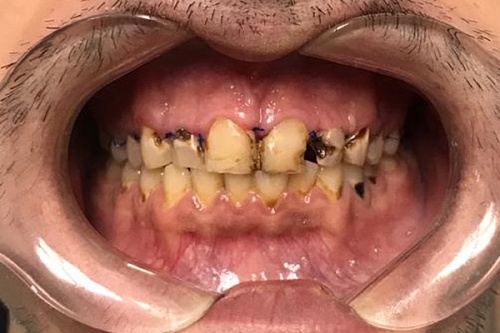
Профессиональная чистка зубного камня
Профессиональная чистка наддесневых и поддесневых отложений, в том числе зубного камня, у мужчины 48 лет.
Узнать больше
Профессиональная чистка зубного камня До
Профессиональная чистка зубного камня После
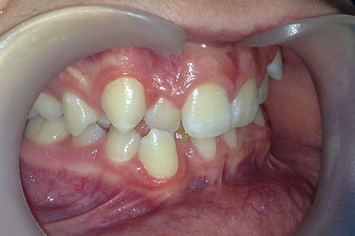
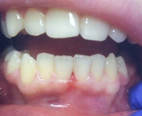
Исправление скученности зубов во фронтальном отделе
Установка металлических безлигатурных брекетов фирмы Ormco – Damon Q для исправления скученности зубов во фронтальном отделе верхней челюсти у мужчины 27 лет.
Узнать больше
Исправление скученности зубов во фронтальном отделе До
Исправление скученности зубов во фронтальном отделе После
Установка пломб Эстелайт при лечении кариеса у ребенка
Установка японских пломб Эстелайт на нижние центральные резцы при лечении кариеса коренных зубов у девочки 12 лет. На фотографиях показаны зубы 3.1 и 4.1 с кариесом и их состояние после пломбирования.
Узнать больше
Установка пломб Эстелайт при лечении кариеса у ребенка До
Установка пломб Эстелайт при лечении кариеса у ребенка После
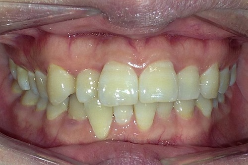
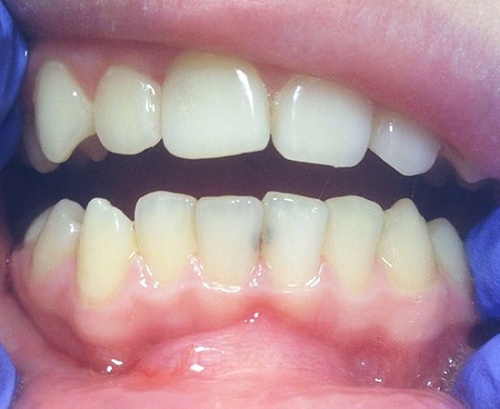
Исправление неправильного положения зубов брекетами
Установка металлических самолигирующих брекетов Damon Q на верхнюю и нижнюю челюсть для исправления неправильного положения зубов у мужчины 26 лет.
Узнать больше
Исправление неправильного положения зубов брекетами До
Исправление неправильного положения зубов брекетами После
Установка имплантов Impro во время ношения брекетов
Установка 2-х имплантов Impro подростку 13 лет после удаления молочного зуба, которое требовалось во время ортодонтического лечения. На панорамных снимках показано состояние зубных рядов после экстракции зуба и результат имплантации утраченных зубов.
Узнать больше
Установка имплантов Impro во время ношения брекетов До
Установка имплантов Impro во время ношения брекетов После
Лечение и протезирование зубов винирами E-max
Качественное лечение и протезирование, с предварительным цифровым моделированием улыбки DSD, винирами из керамики E-max, мужчина 46 лет.
Узнать больше
Лечение и протезирование зубов винирами E-max До
Лечение и протезирование зубов винирами E-max После
Каждый пациент важен!
Пхешхов Ислам Сергеевич
Главный врач, врач стоматолог-ортопед
Клиника «Дантисты» на Новороссийской – это идеальное решение для тех, кто ищет взрослую и детскую стоматологию рядом с домом по доступной цене. Мы рады предложить вам качественное лечение зубов не в ущерб кошельку. Следите за нашими акциями и спецпредложениями, приводите друзей и членов семьи, чтобы получить накопительную семейную скидку до 30%. Первичный прием и компьютерная диагностика всей полости рта – бесплатно! Воспользуйтесь онлайн формой, чтобы записаться на прием в удобное для себя время.

В стоматологии «Дантисты» у метро Люблино для лечения кариеса используется бесконтактный метод Icon, имплантация зубов проводится с помощью искусственных корней Nobel, Astra, Shtraumann, лечение каналов выполняется под контролем дентального микроскопа. Для создания идеально ровной улыбки используются различные системы брекетов, а также прозрачные элайнеры производства Германии и России. Главным нашим преимуществом я считаю возможность предложить доступное по цене и при этом качественное лечение любому пациенту. Мы даем гарантии на свои услуги, что обязательно прописываем в договоре.
Узнать больше
Свернуть описание
Пхешхов Ислам Сергеевич
Наши врачи
Пхешхов Ислам Сергеевич Смотреть
Пхешхов Ислам
Сергеевич
Главный врач, врач стоматолог-ортопед
Алискеров Марат Шерифович Смотреть
Алискеров Марат
Шерифович
Врач стоматолог-терапевт
Амирханов Магомедганипа Арсланович Смотреть
Амирханов Магомедганипа
Арсланович
Врач стоматолог-хирург
Власова Светлана Александровна Смотреть
Власова Светлана
Александровна
Гигиенист стоматологический
Лавриненко Ирина Владимировна Смотреть
Лавриненко Ирина
Владимировна
Врач стоматолог детский
Пачалов Шамиль Абдуллаевич Смотреть
Пачалов Шамиль
Абдуллаевич
Врач стоматолог-пародонтолог
Маркарян Лена Гагиковна Смотреть
Маркарян Лена
Гагиковна
Врач стоматолог-ортодонт
Видеоотзывы
Отзыв о стоматологии у метро Люблино
Всё ещё сомневаетесь?
Оставьте ваш номер телефона, специалист свяжется с вами в течение 3 минут.
Согласие на обработку моих персональных данных
Юр. Лицо:
ООО «Дент-Плюс»
Лицензия №
ЛО-77-01-014128
Скачайте прайс лист
Скачать

Рассчитайте предварительную цену на любые услуги клиники онлайн за 20 секунд

Первый приём врача-стоматолога бесплатно!
Осталось
свободных мест
11