Стоматологическая клиника в 2 минутах от метро «Митино»

ул. Митинская, дом 33, корп. 1 Смотреть на карте
с 8:00 до 21:00 ежедневно
Стоматология «Дантисты» в Митино расположена в 3 минутах от метро. Первый вагон из центра, выход № 4. Идти прямо, после длинного здания с «Пятёрочкой» на первом этаже свернуть налево. Мы находимся в коричневом доме, вход слева.
-
/5
Ваша оценка
Рассрочка
Все свои Митино
Все свои Митино
Все свои Митино
Все свои Митино
Все свои Митино
Все свои Митино
Все свои Митино
Все свои Митино
Все свои Митино
Все свои Митино
Все свои Митино
Все свои Митино
Все свои Митино
Все свои Митино
Все свои Митино
Все свои Митино
Все свои Митино
Все свои Митино

Выгодные предложения месяца

Работы наших врачей
Лечение кариеса переднего зуба
Лечение кариеса на зубах у женщины 42 лет.
Узнать больше
Лечение кариеса переднего зуба До
Лечение кариеса переднего зуба После
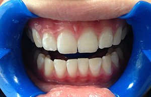
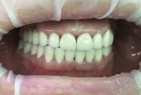
Профессиональное Beyond-отбеливание зубов
Офисное отбеливание зубов по технологии Beyond у женщины 24 лет.
Узнать больше
Профессиональное Beyond-отбеливание зубов До
Профессиональное Beyond-отбеливание зубов После
Несъемное протезирование жевательного зуба коронкой на импланте
Установка коронки с опорой на имплант для восстановления жевательного зуба на нижней челюсти у женщины 41 года. На фотографиях показана коронка на гипсовой модели до ее фиксации и готовый результат реставрации зуба.
Узнать больше
Несъемное протезирование жевательного зуба коронкой на импланте До
Несъемное протезирование жевательного зуба коронкой на импланте После
Восстановление 12, 22 зубов металлокерамическими коронками
Установка металллокерамических коронок на предварительно обточенные 12, 22 зубы женщине 42 лет. На фотографиях продемонстрирован промежуточный этап после препарирования зубов и конечный результат после фиксации металлокерамики.
Узнать больше
Восстановление 12, 22 зубов металлокерамическими коронками До
Восстановление 12, 22 зубов металлокерамическими коронками После
Несъемное протезирование передних зубов металлокерамикой
Восстановление передних зубов верхней челюсти металлокерамическими коронками на культевых вкладках у женщины 49 лет. На фотографиях показано состояние челюсти после фиксации культевых вкладок и после установки протезов.
Узнать больше
Несъемное протезирование передних зубов металлокерамикой До
Несъемное протезирование передних зубов металлокерамикой После
Металлокерамические коронки при патологической стираемости зубов
Восстановление металлокерамическими коронками зубов при их патологической стираемости у женщины 53 лет.
Узнать больше
Металлокерамические коронки при патологической стираемости зубов До
Металлокерамические коронки при патологической стираемости зубов После
Каждый пациент важен!
Лисовская Яна Николаевна
Главный врач, врач первичного приема
Стоматология «Дантисты» в Митино расположена в 3 минутах ходьбы от метро. К нам обращаются за помощью с самыми различными стоматологическими проблемами и всегда ее получают в полном объеме.

Клиника «Дантисты» на Митинской улице оборудована аппаратами ведущих мировых производителей – Philips Zoom! White Speed для отбеливания зубов, Dentsply X-Smart для лечения каналов. Услуги оказываются по фиксированной цене, заранее прописанной в договоре. Следите за нашими сезонными скидками и акциями, чтобы ваше лечение было максимально выгодным.

Мы гордимся не только наличием первоклассных технологий, но и умением создать уют. В нашей стоматологии ничто не будет напоминать об истинной цели вашего визита: приятная обстановка, заботливые врачи и администраторы сделают посещение стоматолога максимально комфортным.
Узнать больше
Свернуть описание
Лисовская Яна Николаевна
Видеоотзывы
Отзыв о стоматологии у метро Митино
Всё ещё сомневаетесь?
Оставьте ваш номер телефона, специалист свяжется с вами в течение 3 минут.
Согласие на обработку моих персональных данных
Юр. Лицо:
ООО «СитиДент»
Лицензия №
ЛО-77-01-016357
Скачайте прайс лист
Скачать

Рассчитайте предварительную цену на любые услуги клиники онлайн за 20 секунд

Первый приём врача-стоматолога бесплатно!
Осталось
свободных мест
11