Стоматологическая клиника в 2 минутах от метро «Новопеределкино»

ул. Чоботовская, дом 15 Смотреть на карте
с 8:00 до 21:00 ежедневно
Стоматология в Новопеределкино располагается в 7 минутах ходьбы от метро. Выбирайте последний вагон из центра, выход номер 3. Выйдя из метро, перейдите дорогу по наземному переходу и поверните направо. Далее двигайтесь прямо по Боровскому шоссе до пересечения с улицей Чоботовская. Поверните налево и следуйте по улице Чоботовская до бассейна Радужный. Перейдите дорогу на светофоре, и перед вами будет вывеска стоматологии.
-
/5
Ваша оценка
Рассрочка
Все свои Новопеределкино
Все свои Новопеределкино
Все свои Новопеределкино
Все свои Новопеределкино
Все свои Новопеределкино
Все свои Новопеределкино
Все свои Новопеределкино
Все свои Новопеределкино

Выгодные предложения месяца

Работы наших врачей
Протезирование резцов верхней челюсти коронками

Восстановление центральных и боковых резцов на верхней челюсти зубными коронками на культевых вкладках у пациентки 39 лет. На фотографиях показано состояние зубов после установки культевых вкладок и конечный результат после протезирования коронками.

Узнать больше
Протезирование резцов верхней челюсти коронками До
Протезирование резцов верхней челюсти коронками После
Протезирование нижней челюсти покрывным протезом

Восстановление зубов на нижней челюсти покрывным протезом с опорой на импланты у пациента 38 лет. На фотографиях показан этап после установки имплантов и конечный результат лечения.

Узнать больше
Протезирование нижней челюсти покрывным протезом До
Протезирование нижней челюсти покрывным протезом После
Установка пломбы при лечении кариеса моляра

Закрытие кариозной полости пломбировочным материалом у пациентки 33 лет.

Узнать больше
Установка пломбы при лечении кариеса моляра До
Установка пломбы при лечении кариеса моляра После
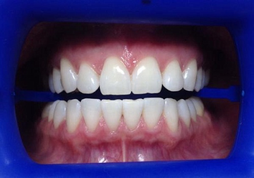
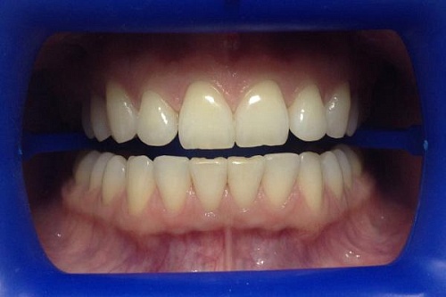
Профессиональное отбеливание зубов Zoom 4

Отбеливание зубов по технологии Philips Zoom! White Speed (Zoom4) с целью избавления от устойчивого темного цвета эмали у пациентки 32 лет.

Узнать больше
Профессиональное отбеливание зубов Zoom 4 До
Профессиональное отбеливание зубов Zoom 4 После
Коррекция зубных дефектов в зоне улыбки винирами

Установка виниров при обширном поражении твердых тканей зубов у пациентки 38 лет.

Узнать больше
Коррекция зубных дефектов в зоне улыбки винирами До
Коррекция зубных дефектов в зоне улыбки винирами После
Исправление скученности зубов брекетами Damon

Установка металлических самолигирующих брекетов Damon для исправления скученности зубов на верхней и нижней челюстях у пациентки 22 лет.

Узнать больше
Исправление скученности зубов брекетами Damon До
Исправление скученности зубов брекетами Damon После
Каждый пациент важен!
Камошин Иван Петрович
Главный врач, стоматолог-хирург

Мы предоставляем широкий спектр услуг: от точной компьютерной диагностики до сложной эстетической реставрации и протезирования. Обратившись к нам, вы обнаружите, что боль при лечении зубов – это устаревший миф. Мы применяем анестетики нового поколения и подбираем их индивидуально для каждого пациента с учетом его физиологических особенностей. За более, чем 10-летний опыт работы я убедился, что стоматология может и обязана быть комфортной и приятной, даже если речь идет о сложных процедурах удаления зубов или другого хирургического вмешательства. Я считаю, чтобы пациенту было комфортно у меня в кресле, я должен детально объяснить ему, какие действия и для чего выполняю. Установить доверительное общение. Думаю, мне это удается, потому что наши пациенты советуют клинику своим друзьям и знакомым. А это лучший отзыв о нашей работе.

Узнать больше
Свернуть описание
Камошин Иван Петрович
Видеоотзывы
Отзыв о стоматологии у метро Новопеределкино
Всё ещё сомневаетесь?
Оставьте ваш номер телефона, специалист свяжется с вами в течение 3 минут.
Согласие на обработку моих персональных данных
Юр. Лицо:
ООО «Стоматология на Чоботовской»
Лицензия №
Л041-01137-77/00153265
Скачайте прайс лист
Скачать

Рассчитайте предварительную цену на любые услуги клиники онлайн за 20 секунд

Первый приём врача-стоматолога бесплатно!
Осталось
свободных мест
11