Стоматологическая клиника в 2 минутах от метро «Окружная»

Гостиничный проезд, дом 8, корп. 1 Смотреть на карте
с 8:00 до 21:00 ежедневно
Стоматология располагается в трех минутах ходьбы от метро Окружная. Выбирайте последний вагон из центра, выход номер 3 к Гостиничному проезду. Выйдя из метро, перейдите дорогу по наземному переходу и следуйте прямо до дома номер 8, корпус 1.
4.5
/5
Ваша оценка
Рассрочка

Выгодные предложения месяца

Работы наших врачей
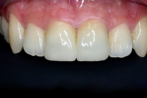
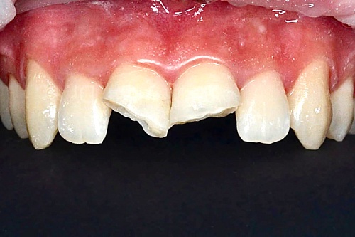
Восстановление центральных резцов керамическими винирами E-Max
Пациент обратился с переломом двух центральных резцов в результате травмы. Зубы восстановили при помощи керамических виниров E-max.
Узнать больше
Восстановление центральных резцов керамическими винирами E-Max До
Восстановление центральных резцов керамическими винирами E-Max После
Лечение полной адентии
У пациента полная адентия верхней и нижней челюсти. Установлены съемные протезы с керамокомпозитными зубами и индивидуализацией десны, благодаря чему удалось добиться максимально эстетичного вида.
Узнать больше
Лечение полной адентии До
Лечение полной адентии После
Восстановление премоляров керамическими коронками на золоте
Несъемное протезирование премоляров на нижней челюсти керамическими коронками на золотом сплаве у пациентки 56 лет.
Узнать больше
Восстановление премоляров керамическими коронками на золоте До
Восстановление премоляров керамическими коронками на золоте После
Установка вкладки при реставрации разрушенного зуба
Восстановление зуба, разрушенного до уровня десны, ортопедической вкладкой у пациентки 40 лет.
Узнать больше
Установка вкладки при реставрации разрушенного зуба До
Установка вкладки при реставрации разрушенного зуба После
Полное протезирование при адентии верхней челюсти
Лечение адентии верхней челюсти полным несъемным протезом с металлокерамическими коронками у мужчины 45 лет.
Узнать больше
Полное протезирование при адентии верхней челюсти До
Полное протезирование при адентии верхней челюсти После
Протезирование моляров зубными коронками на имплантах
Установка двух зубных коронок с опорой на импланты для восстановления моляров у женщины 40 лет.
Узнать больше
Протезирование моляров зубными коронками на имплантах До
Протезирование моляров зубными коронками на имплантах После
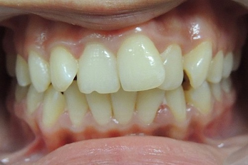
Устранение скученности зубов металлическими брекетами Damon Q
Установка металлических брекетов Damon Q на верхний и нижний зубные ряды для устранения скученности зубов у пациентки 22 лет.
Узнать больше
Устранение скученности зубов металлическими брекетами Damon Q До
Устранение скученности зубов металлическими брекетами Damon Q После
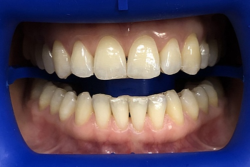
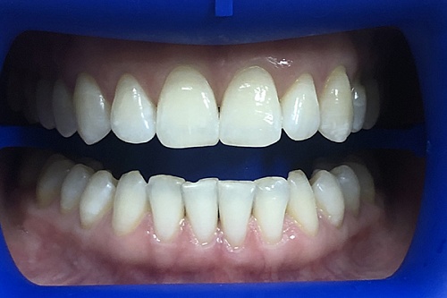
Отбеливание зубов системой Philips Zoom White Speed
Дисколорит зубов устранен при помощи системы отбеливания зубов Philips Zoom White Speed.
Узнать больше
Отбеливание зубов системой Philips Zoom White Speed До
Отбеливание зубов системой Philips Zoom White Speed После
Каждый пациент важен!
Мадатян Григорий Григорьевич
Главный врач, стоматолог-ортопед, стоматолог-терапевт

Что для нас самое важное? Конечно, комфорт и безопасность пациентов. В стоматологии «Дантисты» на Окружной для этого есть все: современное оборудование от зарубежных производителей, аппараты для стерилизации инструментов, квалифицированные специалисты всех направлений стоматологии.

У нас вы получите качественное лечение зубов по приемлемым ценам: сможете оплатить лечение в рассрочку, воспользоваться ежемесячными скидками или стать участником программы лояльности. Мы делаем стоматологические услуги доступными для всех, чтобы каждый мог широко улыбаться.

Узнать больше
Свернуть описание
Мадатян Григорий Григорьевич
Видеоотзывы
Отзыв о стоматологии у метро Окружная
Всё ещё сомневаетесь?
Оставьте ваш номер телефона, специалист свяжется с вами в течение 3 минут.
Согласие на обработку моих персональных данных
Юр. Лицо:
ООО «СТОМАТОЛОГИЯ НА ГОСТИНИЧНОМ»
Лицензия №
Л041-01137-77/00151992
Скачайте прайс лист
Скачать

Рассчитайте предварительную цену на любые услуги клиники онлайн за 20 секунд

Первый приём врача-стоматолога бесплатно!
Осталось
свободных мест
11