Стоматологическая клиника в 2 минутах от метро «Октябрьское Поле»

ул. Маршала Малиновского, дом 6, корп. 1 Смотреть на карте
с 8:00 до 21:00 ежедневно

Стоматология на Октябрьском поле расположена в 3 минутах от метро. Последний вагон из центра, выход № 7, повернуть направо и идти по дорожке до улицы Маршала Малиновского. Повернуть налево и идти ещё одну минуту. Мы находимся в длинном здании слева, во второй его половине.

-
/5
Ваша оценка
Рассрочка

Выгодные предложения месяца

Работы наших врачей
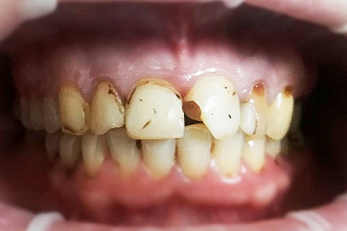
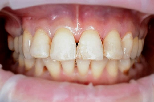
Реставрация зубов

Пациентка обратилась с жалобами на эстетику зоны улыбки, сколы, неудовлетворительное состояние старых реставраций. Была выполнена художественная реставрация передних зубов материалом Estelite Asteria.

Узнать больше
Реставрация зубов До
Реставрация зубов После
Установка композитных виниров в зоне улыбки

Пациент обратился с жалобами на сколы и кариес передних зубов. Решением проблемы стало лечение кариеса с установкой композитных виниров, подобранных под цвет собственных зубов.

Узнать больше
Установка композитных виниров в зоне улыбки До
Установка композитных виниров в зоне улыбки После
Отбеливание зубов по технологии Zoom White Speed

Отбеливание желтой зубной эмали и снятие пигментации по технологии Philips Zoom! White Speed у пациента 27 лет.

Узнать больше
Отбеливание зубов по технологии Zoom White Speed До
Отбеливание зубов по технологии Zoom White Speed После
Отбеливание зубов оттенка А2

Профессиональное отбеливание зубов с первоначальным оттенком А2 по технологии Philips Zoom! White Speed (Zoom4) у пациентки 25 лет.

Узнать больше
Отбеливание зубов оттенка А2 До
Отбеливание зубов оттенка А2 После
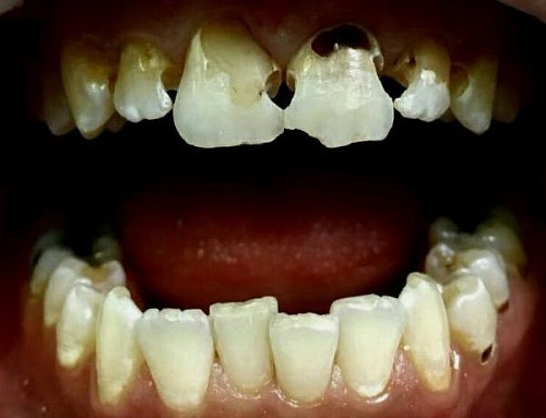
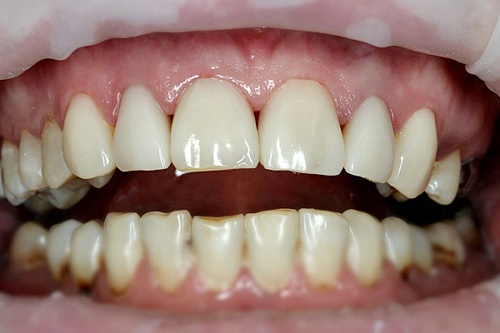
Художественная реставрация передних зубов

Восстановление 13, 12, 11, 21, 22, 23 зубов пломбировочным материалом Estelite Asteria (Япония) у женщины 39 лет.

Узнать больше
Художественная реставрация передних зубов До
Художественная реставрация передних зубов После
Каждый пациент важен!
Богаева Джиргал Сергеевна
Главный врач, стоматолог-терапевт

Стоматология «Дантисты» на улице Привольной расположена в 5 минутах ходьбы от метро Лермонтовский проспект. Здесь вы найдете качественное лечение по доступным ценам. Изготовим надежные и эстетичные коронки и протезы всего за 7-14 дней. Проведем пластику костной ткани перед имплантацией зубов. Во время лечения мы стараемся сохранить здоровые ткани зуба, прибегая к удалению только в крайних случаях. Мы также оказываем все виды ортодонтического лечения, эстетической и профилактической стоматологии.

Рады предложить вам услуги детского стоматолога: вылечим кариес без бормашины, исправим прикус, проведем профилактическую чистку и научим ребенка правильно ухаживать за полостью рта.

В нашей клинике вас встретит вежливый и чуткий администратор, который будет сопровождать вас на всех этапах лечения, напомнит о времени следующего визита. Ожидая врача, отдохните на удобном диване, выпейте теплый напиток. Мы ждем вас ежедневно с с 8.00 до 23.00.

Узнать больше
Свернуть описание
Богаева Джиргал Сергеевна
Наши врачи
Соломатин Михаил Михайлович Смотреть
Соломатин Михаил
Михайлович
Кандидат медицинский наук, Главный имплантолог, врач стоматолог-имплантолог, врач стоматолог-хирург
Быкова Виктория Алексеевна Смотреть
Быкова Виктория
Алексеевна
Врач первичного приема, стоматолог-ортопед
Богаева Джиргал Сергеевна Смотреть
Богаева Джиргал
Сергеевна
Главный врач, стоматолог-терапевт
Александров Евгений Юрьевич Смотреть
Александров Евгений
Юрьевич
Стоматолог-ортопед
Закаржаева Карина Магомедовна Смотреть
Закаржаева Карина
Магомедовна
Стоматолог-пародонтолог, терапевт
Калинкина Валентина Витальевна Смотреть
Калинкина Валентина
Витальевна
Стоматолог-ортодонт
Козлова Марина Витальевна Смотреть
Козлова Марина
Витальевна
Стоматолог-терапевт
Куркиев Низами Алиевич Смотреть
Куркиев Низами
Алиевич
Стоматолог-хирург
Бурханова Эльвира Рафаэлевна Смотреть
Бурханова Эльвира
Рафаэлевна
Гигиенист стоматологический
Ерошенко Андрей Васильевич Смотреть
Ерошенко Андрей
Васильевич
Стоматолог-ортопед
Силаев Роман Севдинович Смотреть
Силаев Роман
Севдинович
Стоматолог-имплантолог
Шенцева Вероника Владиславовна Смотреть
Шенцева Вероника
Владиславовна
Стоматолог-ортодонт
Видеоотзывы
Отзыв о стоматологии у метро Октябрьское Поле
Всё ещё сомневаетесь?
Оставьте ваш номер телефона, специалист свяжется с вами в течение 3 минут.
Согласие на обработку моих персональных данных
Юр. Лицо:
ООО «ВСЕ СВОИ! СТОМАТОЛОГИЯ»
Лицензия №
ЛО-77-01-017170
Скачайте прайс лист
Скачать

Рассчитайте предварительную цену на любые услуги клиники онлайн за 20 секунд

Первый приём врача-стоматолога бесплатно!
Осталось
свободных мест
11