Стоматологическая клиника в 2 минутах от метро «Перово»

Зеленый проспект, дом 22 Смотреть на карте
с 8:00 до 21:00 ежедневно
Стоматология в Перово подойдёт тем, кто ищет решение сразу нескольких задач: пройти диагностику на месте, показать ребёнка врачу или провести сложное лечение, где важна точность. В клинике принимают детей с четырёх лет, есть компьютерная томография и лечение зубов под микроскопом — всё это позволяет не откладывать визит и пройти весь путь от диагностики до результата в одном месте.
-
/5
Ваша оценка
Рассрочка

Выгодные предложения месяца

Работы наших врачей
Изготовление и установка виниров E-max на верхнюю челюсть
Пациентка 54 года, жалобы на скол и неудовлетворительную эстетику передних зубов. Установлено 8.виниров E-max. На 2 фото верхняя челюсть в кофердаме.
Узнать больше
Изготовление и установка виниров E-max на верхнюю челюсть До
Изготовление и установка виниров E-max на верхнюю челюсть После
Удаление пигментации на зубах системой Zoom 4
Отбеливание зубной эмали безопасной и современной системой Philips Zoom! White Speed (Zoom4) у пациентки 30 лет.
Узнать больше
Удаление пигментации на зубах системой Zoom 4 До
Удаление пигментации на зубах системой Zoom 4 После
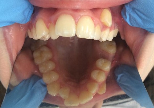
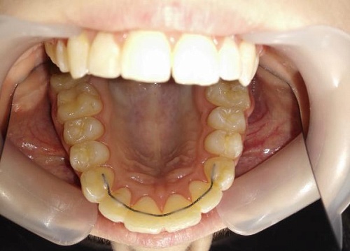
Лечение скученности зубов брекетами Damon
Установка металлических самолигирующих брекетов Damon Q для лечения скученности зубов на верхней челюсти у пациентки 28 лет. На 2 фото на зубах установлен ретейнер для поддержания результатов лечения.
Узнать больше
Лечение скученности зубов брекетами Damon До
Лечение скученности зубов брекетами Damon После
Протезирование передних зубов металлокерамикой
Несъемное протезирование передних зубов со сколотым режущим краем металлокерамическими коронками у пациента 39 лет.
Узнать больше
Протезирование передних зубов металлокерамикой До
Протезирование передних зубов металлокерамикой После
Протезирование на имплантах
Несъемное протезирование зубными коронками на имплантах при частичной адентии верхней челюсти у женщины 43 лет.
Узнать больше
Протезирование на имплантах До
Протезирование на имплантах После
Каждый пациент важен!
Каратаева Виктория Олеговна
Главный врач, стоматолог-терапевт

Почему выбирают стоматологию в Перово

  • Можно лечиться без переездов между клиниками — диагностика, планирование и лечение проводятся на месте, в одном помещении.
  • Снимок делают сразу во время визита — компьютерная томография проводится на месте, без записи в сторонние центры.
  • Детский приём организован с учётом возраста — приём ведут стоматологи, умеющие работать с детьми с 4-х лет.
  • План лечения согласуется заранее — пациент точно знает, что и зачем проводится, без лишних процедур.
  • Применяется микроскоп при лечении — особенно важно при работе с корневыми каналами, реставрацией, перелечиванием.

Что здесь есть

  • Компьютерная томография с трёхмерной визуализацией
  • Микроскоп для точного лечения
  • Приём детей с четырёхлетнего возраста
  • Врачи разных направлений: терапия, хирургия, ортопедия, имплантация
  • Поэтапный план лечения и фиксированная стоимость
  • Оплата наличными, картой или по QR

Удобство и организация

Клиника расположена в двух минутах пешком от метро. Приём по предварительной записи, можно выбрать время, в том числе в вечерние часы. После осмотра пациент получает подробный план: с объёмами, стоимостью и сроками. Все работы выполняются в одном месте, без ожиданий и переадресаций.

Кому подойдёт

Стоматологическая клиника в Перово — для тех, кто ищет уверенность на каждом этапе. Здесь нет перегрузки лишними назначениями, каждый шаг лечения обоснован и заранее согласован. Удобный вариант, если нужно показать ребёнка, сделать снимок и сразу начать лечение — без потери времени.

Узнать больше
Свернуть описание
Каратаева Виктория Олеговна
Видеоотзывы
Отзыв о стоматологии у метро Перово
Всё ещё сомневаетесь?
Оставьте ваш номер телефона, специалист свяжется с вами в течение 3 минут.
Согласие на обработку моих персональных данных
Юр. Лицо:
«СТОМАТОЛОГИЯ В ПЕРОВО»
Лицензия №
ЛО-77-01-021470
Скачайте прайс лист
Скачать

Рассчитайте предварительную цену на любые услуги клиники онлайн за 20 секунд

Первый приём врача-стоматолога бесплатно!
Осталось
свободных мест
11