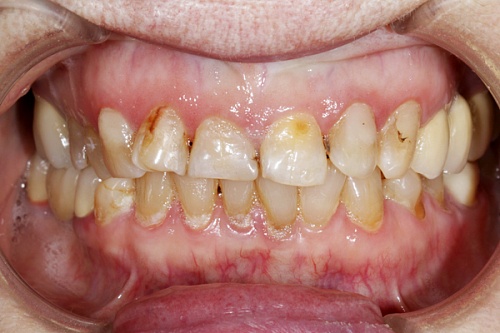
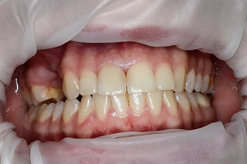
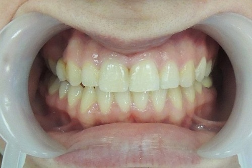
Стоматология «Дантисты» на Сиреневом бульваре расположена в пешей доступной от станций метро Первомайская и Щелковская. Наши пациенты могут получить весь спектр стоматологических услуг — от чистки и отбеливания до имплантации и протезирования. Профессионализм специалистов клиники отточен годами практики, а теоретические знания — на конференциях и профильных семинарах.
Мы регулярно внедряем в свою практику новейшие методы лечения зубов. Лечим начальный кариес без бормашины методом Icon, применяем лазерные технологии. Исправление прикуса проводим наиболее удобными и эстетичными системами Damon, H4, Incognito. Для имплантации зубов предлагаем пациентами продукцию ведущих брендов Straumann, Osstem, Nobel. Чтобы добиться идеального воспроизведения оттенка, формы и фактуры при художественной реставрации, используем метод послойного нанесения материалов.