Стоматологическая клиника в 2 минутах от метро «Пролетарская»

ул. Динамовская, дом 4 Смотреть на карте
с 8:00 до 21:00 ежедневно

Стоматология на Пролетарской расположена в 1 минуте от метро. Последний вагон из центра, выход №5. Из стеклянных дверей направо, подняться по лестнице и повернуть направо, идти прямо по дорожке до дома из красного кирпича. В клинике на Пролетарской мы лечим зубы под микроскопом. Это помогает сохранять высокое качество работы даже в самых сложных случаях — например, при перелечивании каналов зуба.

-
/5
Ваша оценка
Рассрочка

Выгодные предложения месяца

Работы наших врачей
Комплексная реконструкция улыбки

Пациентка обратилась с жалобами на подвижность зубов, выделениями из пародонтальных карманов. По данным КЛКТ была установлена подвижность зубов 3 степени, так как альвеолярная кость заместилась патологической грануляционной тканью. Пародонтолог устранил острые воспаления. После наступления ремиссии все зубы были удалены, в позициях 15, 12, 22, 25, 35, 32, 42, 45 установлены дентальные имплантаты системы AnyRidge по системе All-on-4. На верхнюю и нижнюю челюсти установлены временные акриловые протезы.

Узнать больше
Комплексная реконструкция улыбки До
Комплексная реконструкция улыбки После
Биогигиена и отбеливание зубов

Пациентка обратилась с жалобой на неудовлетворительную эстетику зубов. Сначала была выполнена биогигиена полости рта: пациентке сняли зубной камень и очистили зубы от мягкого налета и отложений. Затем была проведена процедура отбеливания зубов системой Philips Zoom white speed (Zoom4).

Узнать больше
Биогигиена и отбеливание зубов До
Биогигиена и отбеливание зубов После
Пластика преддверия и закрытие рецессии десны

Пациентка обратилась с проблемой локальных изменений в десневой ткани и оголения корней зуба. Произведена пародонтологическая чистка, устранено воспаление в области десны зубов нижней челюсти. Затем выполнена пластика преддверия полости рта с одномоментным устранением обнаженной поверхности корней зубов.

Узнать больше
Пластика преддверия и закрытие рецессии десны До
Пластика преддверия и закрытие рецессии десны После
Восстановление зуба эстетической реставрацией
Устранение скола переднего зуба методом эстетической реставрации, материал Estelite Asteria.
Узнать больше
Восстановление зуба эстетической реставрацией До
Восстановление зуба эстетической реставрацией После
Лечение металлической брекет-системой Damon Q
Лечение скученности зубов с помощью металлической брекет-системы Damon Q у пациента 25 лет.
Узнать больше
Лечение металлической брекет-системой Damon Q До
Лечение металлической брекет-системой Damon Q После
Лечение детского кариеса коренного зуба материалом Эстелайт
Пломбирование коренного зуба материалом Эстелайт при лечении кариеса у девочки 14 лет.
Узнать больше
Лечение детского кариеса коренного зуба материалом Эстелайт До
Лечение детского кариеса коренного зуба материалом Эстелайт После
Исправление неправильного постоянного прикуса зубов
Коррекция неправильного постоянного прикуса зубов с помощью брекет-системы у девочки 13 лет.
Узнать больше
Исправление неправильного постоянного прикуса зубов До
Исправление неправильного постоянного прикуса зубов После
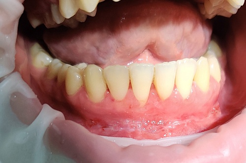
Протезирование жевательных зубов металлокерамическими коронками
Несъемное протезирование жевательных зубов металлокерамическими коронками у женщины 47 лет.
Узнать больше
Протезирование жевательных зубов металлокерамическими коронками До
Протезирование жевательных зубов металлокерамическими коронками После
Каждый пациент важен!
Кум Анастасия Вячеславовна
Главный врач, стоматолог-терапевт

В семейной клинике «Дантисты» у метро Пролетарская мы лечим зубы взрослым и детям. В детской стоматологии работает квалифицированный специалист, который быстро найдет общий язык с вашим ребенком. Во время приема маленький пациент не будет чувствовать боли, мы можем удалить кариес без сверления или применить безопасную анестезию. Для взрослых пациентов мы предлагаем широкий перечень услуг: лечение зубов и десен, имплантация, протезирование, установка брекетов.

Стоматологическая клиника на улице Динамовская оснащена новейшим ортопантомографом, позволяющим выполнить качественный панорамный снимок всей полости рта. Лечение кариеса и каналов зубов проводится под контролем дентального микроскопа. Я работаю в стоматологии не один год, поэтому точно могу сказать, что наш главный показатель: благодарные отзывы клиентов.

Узнать больше
Свернуть описание
Кум Анастасия Вячеславовна
Видеоотзывы
Отзыв о стоматологии у метро Пролетарская
Всё ещё сомневаетесь?
Оставьте ваш номер телефона, специалист свяжется с вами в течение 3 минут.
Согласие на обработку моих персональных данных
Юр. Лицо:
ООО «ЮДЕНТ»
Лицензия №
ЛО-77-01-019254
Скачайте прайс лист
Скачать

Рассчитайте предварительную цену на любые услуги клиники онлайн за 20 секунд

Первый приём врача-стоматолога бесплатно!
Осталось
свободных мест
11