Стоматологическая клиника в 2 минутах от метро «Сокольники»

ул. Русаковская, дом 22 Смотреть на карте
с 8:00 до 21:00 ежедневно
В стоматологии рядом с метро «Сокольники» принимают взрослых и детей с четырёх лет, проводят компьютерную томографию на месте и выстраивают лечение по чёткому медицинскому протоколу. Над сложными случаями работает врачебная команда, все процедуры предварительно согласовываются, а стоимость фиксируется в договоре.
-
/5
Ваша оценка
Рассрочка

Выгодные предложения месяца

Работы наших врачей
Устранение дисколорита зубов методом ZOOM
Лечение дисколорита зубов отбеливающим гелем, активирующимся под действием лампы ZOOM, у девушки 27 лет.
Узнать больше
Устранение дисколорита зубов методом ZOOM До
Устранение дисколорита зубов методом ZOOM После
Протезирование верхней и нижней челюстей пластиночными протезами
Восстановление передних зубов на верхней и нижней челюстях пластиночными протезами у мужчины 46 лет. На фотографиях представлено состояние ротовой полости на подготовительном этапе, после установки культевых вкладок, и конечный результат ортопедического лечения.
Узнать больше
Протезирование верхней и нижней челюстей пластиночными протезами До
Протезирование верхней и нижней челюстей пластиночными протезами После
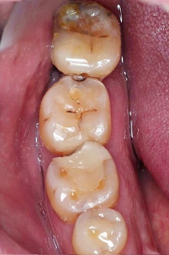
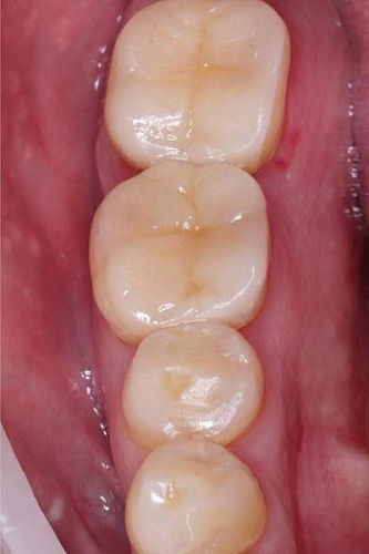
Протезирование моляра циркониевой коронкой
Установка циркониевой коронки на зуб при протезировании моляра на нижней челюсти у мужчины 33 лет.
Узнать больше
Протезирование моляра циркониевой коронкой До
Протезирование моляра циркониевой коронкой После
Выравнивание зубов комбинированными брекетами Ormco
Установка брекетов компании Ormco: керамических безлигатурных Damon Clear – на верхнюю челюсть, комбинированных Damon Clear + Damon Q – на нижнюю для выравнивания зубов у девушки 23 лет.
Узнать больше
Выравнивание зубов комбинированными брекетами Ormco До
Выравнивание зубов комбинированными брекетами Ormco После
Художественная реставрация фронтальных зубов
Пациентка жаловалась на наличие чёрных треугольников, наклон центральной линии, несостоятельные пломбы и асимметрию резцов.
Данный клинический случай выполнен в технике прямой реставрации 4 резцов. Препарирование заключалось в удалении старых пломб, редукции вестибулярных стенок зубов.
Узнать больше
Художественная реставрация фронтальных зубов До
Художественная реставрация фронтальных зубов После
Восстановление жевательных зубов керамическими культевыми вкладками
Пациент обратился в клинику с жалобами на боль от температурных раздражителей зубов нижней челюсти справа.
Произведено лечение кариеса и восстановление зубов 36, 37 с помощью керамических вкладок.
Узнать больше
Восстановление жевательных зубов керамическими культевыми вкладками До
Восстановление жевательных зубов керамическими культевыми вкладками После
Каждый пациент важен!
Кудасова Екатерина Олеговна
Главный врач, врач первичного приема

Почему выбирают эту клинику

  • Врачи разных профилей работают в одной команде — при необходимости сложные случаи обсуждаются на консилиуме.
  • Снимки не нужно делать в сторонних центрах — КТ проводится в клинике, во время первичного визита.
  • Детей принимают с четырёх лет — кабинеты оборудованы с учётом возраста, врачи умеют выстраивать контакт.
  • Все этапы фиксируются в договоре — от объёма работ до окончательной стоимости.
  • Клиника работает по единому протоколу — план лечения не зависит от личных предпочтений врача.
    • Что здесь есть

      • Компьютерная томография с 3D-моделированием
      • Приём детей с четырёх лет
      • Врачи-эксперты: терапия, хирургия, ортопедия, имплантация
      • Лечение по утверждённому плану
      • Прозрачная смета и фиксированная стоимость
      • Оплата картой, по QR или наличными

      Удобство и организация

      Клиника находится рядом с метро, приём — по предварительной записи. После осмотра пациент получает подробный план лечения, где отражены процедуры, сроки и сумма. Все этапы проходят в одном здании — без переадресаций и смены клиник. Предусмотрена комфортная зона ожидания, включая места для родителей с детьми.

      Кому подойдёт эта клиника

      Тем, кто хочет пройти лечение с чётким пониманием каждого этапа. Здесь не торопят, не перегружают лишними назначениями и не отклоняются от согласованного плана. Удобный вариант, если важно получить медицинскую помощь без спешки и с реальной вовлечённостью команды.

Узнать больше
Свернуть описание
Кудасова Екатерина Олеговна
Видеоотзывы
Отзыв о стоматологии у метро Сокольники
Всё ещё сомневаетесь?
Оставьте ваш номер телефона, специалист свяжется с вами в течение 3 минут.
Согласие на обработку моих персональных данных
Юр. Лицо:
ООО «ВСЕ СВОИ СОКОЛЬНИКИ»
Лицензия №
ЛО-77-01-019979
Скачайте прайс лист
Скачать

Рассчитайте предварительную цену на любые услуги клиники онлайн за 20 секунд

Первый приём врача-стоматолога бесплатно!
Осталось
свободных мест
11