Стоматологическая клиника в 2 минутах от метро «Строгино»

Строгинский бульвар, дом 2, корп. 1 Смотреть на карте
с 8:00 до 21:00 ежедневно

Стоматология в Строгино расположена в 5 минутах от метро. Выбирайте первый вагон из центра, выход № 2, следуйте прямо по Строгинскому бульвару по направлению к улице Кулакова и МКАД, справа через дорогу, напротив месторасположения клиники — ТЦ «Дарья».

-
/5
Ваша оценка
Рассрочка

Выгодные предложения месяца

Работы наших врачей
Художественная реставрация Estelite Asteria

Пациент 32 лет обратился с жалобами на кариес и желтизну передних зубов. Была проведена художественная реставрация зубов 12,11,21,22 материалом Estelite Asteria.

Узнать больше
Художественная реставрация Estelite Asteria До
Художественная реставрация Estelite Asteria После
Исправление «линии улыбки» винирами E-max

Протезирование передних зубов винирами Е-max, пациент 38 лет.

Узнать больше
Исправление «линии улыбки» винирами E-max До
Исправление «линии улыбки» винирами E-max После
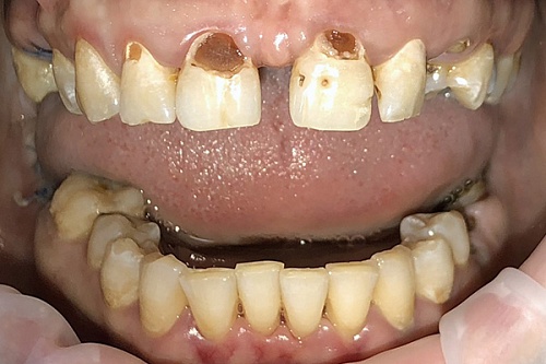
Лечение вторичного кариеса

В ходе планового осмотра у пациента был обнаружен кариес под пломбой. Проведено лечение вторичного кариеса с установкой пломбы Estelite Quick.

Узнать больше
Лечение вторичного кариеса До
Лечение вторичного кариеса После
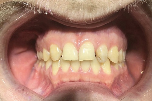
Отбеливание зубов Zoom White Speed

Осветление эмали с помощью профессиональной системы отбеливания Zoom White Speed у пациента 30 лет.

Узнать больше
Отбеливание зубов Zoom White Speed До
Отбеливание зубов Zoom White Speed После
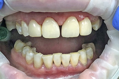
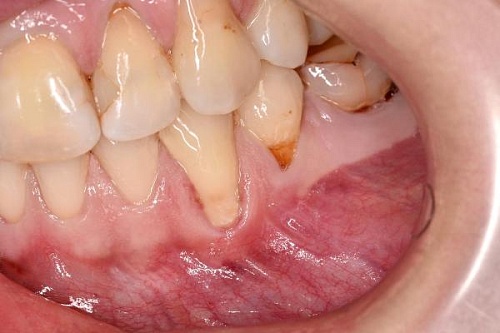
Лечение рецессии десен

Пациент 38 лет. Прогрессирующая рецессия, сильно выражено опущение дёсен верхних и нижних зубов. Проведено хирургическое лечение.

Узнать больше
Лечение рецессии десен До
Лечение рецессии десен После
Каждый пациент важен!
Бородина Татьяна Анатольевна
Главный врач, стоматолог-терапевт

Если вы устали бегать от одного стоматолога к другому в поисках качественного обслуживания без ущерба для кошелька, я предлагаю вам познакомиться с клиникой «Дантисты». Мы находимся в районе метро Строгино, открыты ежедневно с 8:00 до 23:00. Одно из главных преимуществ клиники — детская стоматология. Мы ведем прием самых маленьких пациентов с 4 лет. Вы можете лечить зубы всей семьей в одном месте. Это не только удобно, но и выгодно — экономия до 30% после оформления семейной карты.

В клинике на Строгинском бульваре вы получите весь спектр стоматологических услуг: лечение кариеса безболезненным методом Icon, съемное и несъемное протезирование, имплантация, исправление прикуса брекетами или элайнерами. Каждый наш специалист — профессионал в своей сфере, врачи владеют современными методиками, ежедневно совершенствуют свое мастерство. Отзывы о стоматологии «Все свои!» подтверждают, что каждый пациент остается довольным результатом лечения.

Узнать больше
Свернуть описание
Бородина Татьяна Анатольевна
Видеоотзывы
Отзыв о стоматологии у метро Строгино
Всё ещё сомневаетесь?
Оставьте ваш номер телефона, специалист свяжется с вами в течение 3 минут.
Согласие на обработку моих персональных данных
Юр. Лицо:
ООО «ДЕНТ-АРТ»
Лицензия №
ЛО-77-01-020805
Скачайте прайс лист
Скачать

Рассчитайте предварительную цену на любые услуги клиники онлайн за 20 секунд

Первый приём врача-стоматолога бесплатно!
Осталось
свободных мест
11