Стоматологическая клиника в 2 минутах от метро «Университет»

пр-т Вернадского, дом 11/19 Смотреть на карте
с 8:00 до 21:00 ежедневно
Стоматология находится в 5 минутах от метро «Университет». Подняться на улицу через выход № 2. Идти прямо вдоль проспекта Вернадского 3 минуты против движения машин, перейти дорогу на светофоре и продолжить движение вперед – до конца дома, где и расположена наша клиника.
-
/5
Ваша оценка
Рассрочка

Выгодные предложения месяца

Работы наших врачей
Исправление прикуса брекетами Damon
Коррекция прикуса брекет-системой Damon, пациент 24 года. На фото показано состояние зубов до и после ношения брекетов.
Узнать больше
Исправление прикуса брекетами Damon До
Исправление прикуса брекетами Damon После
Лечение скрытого кариеса дистальной части зуба
Лечение скрытой кариозной полости на дистальном контактном пункте зуба 4.5 материалом Estelite, женщина 32 лет
Узнать больше
Лечение скрытого кариеса дистальной части зуба До
Лечение скрытого кариеса дистальной части зуба После
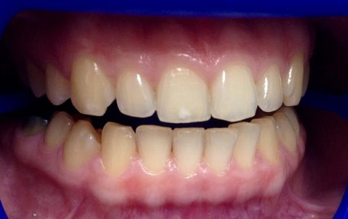
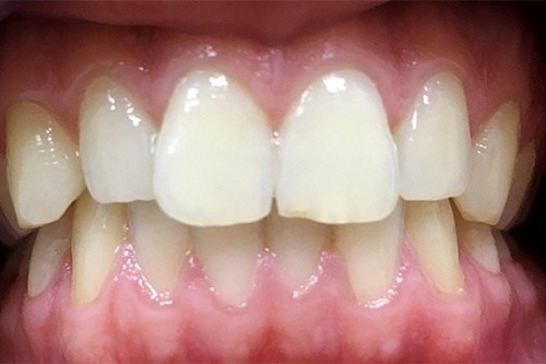
Клиническое отбеливание зубов Zoom White Speed
Отбеливание зубов после технологии Zoom White Speed для лечения дисколорита эмали у пациентки 25 лет.
Узнать больше
Клиническое отбеливание зубов Zoom White Speed До
Клиническое отбеливание зубов Zoom White Speed После
Пломбирование детского зуба при лечении кариеса
Установка цветной пломбы при лечении кариеса жевательного зуба у девочки 12 лет.
Узнать больше
Пломбирование детского зуба при лечении кариеса До
Пломбирование детского зуба при лечении кариеса После
Видеоотзывы
Отзыв о стоматологии у метро Университет
Всё ещё сомневаетесь?
Оставьте ваш номер телефона, специалист свяжется с вами в течение 3 минут.
Согласие на обработку моих персональных данных
Юр. Лицо:
ООО «СМАЙЛ-КЛИНИК»
Лицензия №
ЛО-77-01-017214
Скачайте прайс лист
Скачать

Рассчитайте предварительную цену на любые услуги клиники онлайн за 20 секунд

Первый приём врача-стоматолога бесплатно!
Осталось
свободных мест
11