Стоматологическая клиника в 2 минутах от метро «Войковская»

Ленинградское шоссе, дом 9, корп. 1 Смотреть на карте
с 8:00 до 21:00 ежедневно

Стоматологическая клиника расположена в 3 минутах от станции метро. Последний вагон из центра, после турникета направо и идите до конца перехода. Затем поверните налево к выходу №4. После выхода на улицу пройдите прямо 100 метров, и вы увидите клинику.

-
/5
Ваша оценка
Рассрочка

Выгодные предложения месяца

Работы наших врачей
Лечение кариеса жевательного зуба пломбировочным материалом

Во время осмотра у пациента 34 лет было выявлено кариозное поражение жевательного зуба на начальной стадии. Лечение было выполнено при помощи светоотверждаемого пломбировочного материала.

Узнать больше
Лечение кариеса жевательного зуба пломбировочным материалом До
Лечение кариеса жевательного зуба пломбировочным материалом После
Лечение кариеса моляра на нижней челюсти

Для лечения среднего кариеса на моляре нижней челюсти были удалены пораженные ткани и выполнено пломбирование светоотверждаемыми материалами.

Узнать больше
Лечение кариеса моляра на нижней челюсти До
Лечение кариеса моляра на нижней челюсти После
Лечение кариеса зубов у ребенка

Установка цветной пломбы при лечении кариеса у пациентки 11 лет.

Узнать больше
Лечение кариеса зубов у ребенка До
Лечение кариеса зубов у ребенка После
Отбеливание ZOOM 4

Офисное отбеливание по технологии ZOOM 4 для лечения дисколорита зубной эмали у пациентки 28 лет.

Узнать больше
Отбеливание ZOOM 4 До
Отбеливание ZOOM 4 После
Закрытие рецессии десен 23 и 24 зубов

Пациент 34 дет обратился с жалобой на оголенные шейки 23, 24 зубов. Результаты операции – восстановлен уровень десны, устранено оголение шеек зубов.

Узнать больше
Закрытие рецессии десен 23 и 24 зубов До
Закрытие рецессии десен 23 и 24 зубов После
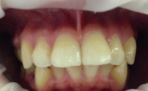
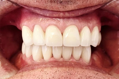
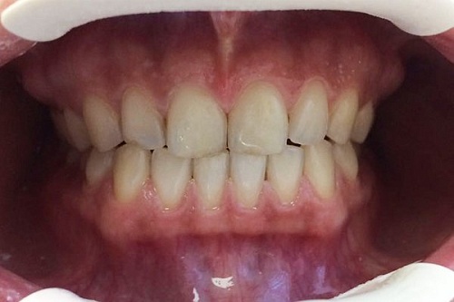
Установка безметалловых керамических коронок

Пациент обратился со сколом на передних зубах, переломом и периодонтитом 12 зуба. Также пациента не устраивал внешний вид пожелтевших зубов. Было проведено терапевтическое лечение периодонтита и кариеса, установлены коронки из диоксида циркония.

Узнать больше
Установка безметалловых керамических коронок До
Установка безметалловых керамических коронок После
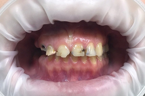
Ортопедическое лечение разрушенных зубов

Пациентка 38 лет, передние зубы почти полностью разрушены. Были установлены керамические восстановительные вкладки, безметалловые коронки и виниры.

Узнать больше
Ортопедическое лечение разрушенных зубов До
Ортопедическое лечение разрушенных зубов После
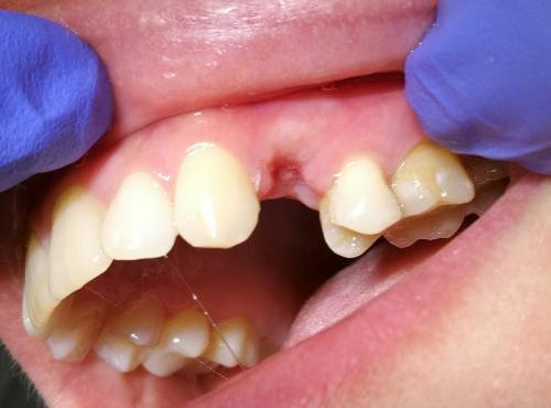
Трансдентальное шинирование при отсутствующем зубе

У пациентки 37 лет отсутствовал первый премоляр, было рекомендовано трансдентальное шинирование с применением стеловолокна. Подвижные зубы объединены в единую конструкцию, шина закрыта пломбировочным материалом. В результате был устранен промежуток между зубами.

Узнать больше
Трансдентальное шинирование при отсутствующем зубе До
Трансдентальное шинирование при отсутствующем зубе После
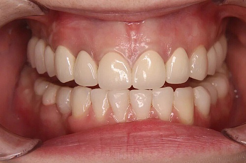
Выравнивание зубов комбинированными брекетами Damon

У пациентки 34 лет узкая челюсть, неровные зубы. Результат лечения комбинированными брекетами Damon Clear и Damon Q.

Узнать больше
Выравнивание зубов комбинированными брекетами Damon До
Выравнивание зубов комбинированными брекетами Damon После
Каждый пациент важен!
Кузнецов Александр Сергеевич
Главный врач, врач первичного приема, стоматолог-терапевт

Стоматология «Дантисты» на Войковской рада предложить вам очень демократичные расценки. Мы клиника среднего ценового диапазона, но оказывающая услуги на самом высоком уровне. Уверенные в качестве своей работы, мы предоставляем гарантии от 5 лет. В клинике установлена система акций: семейная скидка до 30%, 5% — для пенсионеров. Первичный прием и компьютерная диагностика проводятся бесплатно. Запишитесь на прием в удобное для себя время с 8.00 до 23.00.

Особое внимание стоматологическая клиника «Все свои!» на Ленинградском шоссе, 21 уделяет маленьким пациентам, с ними работают лучшие специалисты, которые могут установить доверительный контакт с ребенком. Во время лечения детям показывают любимые мультики, а после окончания всех процедур сделают подарок за терпение и храбрость. Детская стоматология на Войковской также открыта для вас ежедневно.

Узнать больше
Свернуть описание
Кузнецов Александр Сергеевич
Видеоотзывы
Отзыв о стоматологии у метро Войковская
Всё ещё сомневаетесь?
Оставьте ваш номер телефона, специалист свяжется с вами в течение 3 минут.
Согласие на обработку моих персональных данных
Юр. Лицо:
ООО «ЭЛИТ-МЕД»
Лицензия №
ЛО-77-01-018882
Скачайте прайс лист
Скачать

Рассчитайте предварительную цену на любые услуги клиники онлайн за 20 секунд

Первый приём врача-стоматолога бесплатно!
Осталось
свободных мест
11