Стоматологическая клиника в 2 минутах от метро «Ясенево»

Новоясеневский проспект, дом 9 Смотреть на карте
с 8:00 до 21:00 ежедневно

Стоматология в Ясенево расположена в 3 минутах от метро. Первый вагон из центра, выход № 1. Повернуть направо и идти вдоль дороги до большого здания в виде перевёрнутой буквы П. Мы находимся в правом крыле, чуть дальше «Инвитро».

-
/5
Ваша оценка
Рассрочка

Выгодные предложения месяца

Работы наших врачей
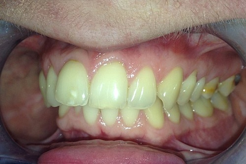
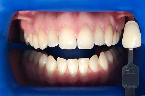
Отбеливание зубов системой Philips Zoom 4

Пациентка 28 лет. Желтоватый оттенок эмали был устранен при помощи системы отбеливания Philips Zoom! White Speed (Zoom4).

Узнать больше
Отбеливание зубов системой Philips Zoom 4 До
Отбеливание зубов системой Philips Zoom 4 После
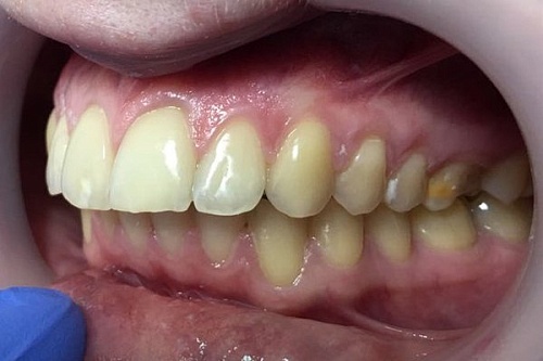
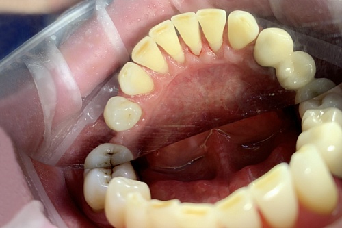
Пломбирование кариозной полости в моляре

Лечение кариеса бокового зуба путем препарирования и пломбирования у пациентки 30 лет.

Узнать больше
Пломбирование кариозной полости в моляре До
Пломбирование кариозной полости в моляре После
Био-гигиена полости рта с натуральным комплексом солей «Мертвого моря»

Пациент обратился в клинику с целью провести профессиональную гигиену, очистить зубы от зубного камня и темного зубного налета, образовавшегося на фоне курения. Для достижения максимального эффекта и бережного очищения была выбрана био-гигиена полости рта с натуральным комплексом солей «Мертвого моря».

Узнать больше
Био-гигиена полости рта с натуральным комплексом солей «Мертвого моря» До
Био-гигиена полости рта с натуральным комплексом солей «Мертвого моря» После
Имплантация Anyone

Установка дентального имплантата Ankyone в области 46 зуба. На фото показано состояние ротовой полости до начала лечения и после вживления импланта. Для успешной остеоинтеграции десна в дальнейшем зашивается.

Узнать больше
Имплантация Anyone До
Имплантация Anyone После
Восстановление жевательного зуба металлокерамической коронкой
<p>Протезирование жевательного зуба на нижней челюсти металлокерамической коронкой у мужчины 47 лет.</p>
Узнать больше
Восстановление жевательного зуба металлокерамической коронкой До
Восстановление жевательного зуба металлокерамической коронкой После
Выравнивание центральных резцов
Выравнивание верхних центральных резцов с помощью брекетов Damon у мужчины 25 лет.
Узнать больше
Выравнивание центральных резцов До
Выравнивание центральных резцов После
Установка виниров и бескаркасной керамики

Установка 7 виниров и 1 бескаркасной керамики на зубы верхнего и нижнего ряда мужчине 29 лет.

Узнать больше
Установка виниров и бескаркасной керамики До
Установка виниров и бескаркасной керамики После
Каждый пациент важен!
Короваев Андрей Владимирович
Главный врач, стоматолог-терапевт

Стоматология «Дантисты» в Ясенево расположена в 3 минутах ходьбы от метро. Это современная стоматологическая клиника, оборудование которой позволяет проводить операции удаления зубов или лечения десен без боли и риска осложнений. Передовые станции обезболивания обеспечивают качественную и безопасную анестезию, а система автоматической стерилизации гарантирует надежную защиту от инфекций.

Наши специалисты — настоящие мастера стоматологического искусства, о чем лучше всего говорят благодарные отзывы постоянных пациентов. Продуманный интерьер стоматологии «Дантисты» на Новоясеневском проспекте позволяет пациентам чувствовать себя как дома.

Другое наше преимущество — доступная для многих пациентов ценовая политика, возможность оплаты дорогостоящих видов лечения в рассрочку, семейная скидка до 30%, особый подход к пожилым людям и пенсионерам. Ждем вас ежедневно с 8.00 до 23.00, запишитесь на бесплатную первичную консультацию, воспользовавшись онлайн формой.

Узнать больше
Свернуть описание
Короваев Андрей Владимирович
Видеоотзывы
Отзыв о стоматологии у метро Ясенево
Всё ещё сомневаетесь?
Оставьте ваш номер телефона, специалист свяжется с вами в течение 3 минут.
Согласие на обработку моих персональных данных
Юр. Лицо:
ООО «ФАНИ ДЕНТ»
Лицензия №
ЛО-77-01-015385
Скачайте прайс лист
Скачать

Рассчитайте предварительную цену на любые услуги клиники онлайн за 20 секунд

Первый приём врача-стоматолога бесплатно!
Осталось
свободных мест
11