
Станция метро Давыдково находится на границе районов Фили-Давыдково и Можайский, у пересечения улицы Инициативной и Аминьевского шоссе. Путь к ней от центра займет не более 30 минут. Выбрать стоматологию с приемлемым уровнем цен и услуг поможет dantisti.ru.
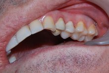
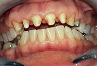
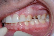
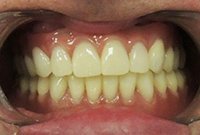
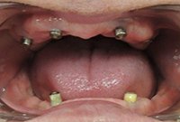
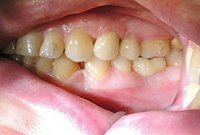
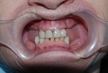
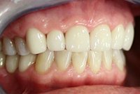
В государственных стоматологиях профилактический осмотр ничего не стоит, да и в большинстве частных клиник плановая консультация проводится бесплатно. Однако, несмотря на это, большинство людей обращается к стоматологу, когда патология уже возникла и вызывает дискомфорт. Но это в корне неправильный подход, так как регулярный плановый осмотр позволяет обнаружить кариес или другие патологии на ранней стадии.
Чтобы избежать серьезных проблем с зубами или деснами, достаточно 1-2 раза в год посещать кабинет стоматолога. Но, если у пациента обнаружены серьезные хронические заболевания, заглядывать к специалисту лучше каждые 2-3 месяца. Точное расписание ваших визитов в стоматологию определит ваш лечащий врач.