
Станция метро Озерная находится на границе районов Очаково-Матвеевское и Тропарёво-Никулино, рядом с пересечением Мичуринского проспекта с Никулинской улицей. Выходит на одноименную улицу и площадь. В 1,5 км от станции располагается железнодорожная платформа Очаково 1 Киевского направления.
Ценообразование в частных стоматологиях складывается под воздействием различных факторов:
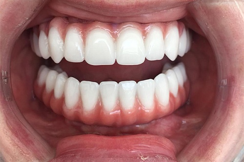
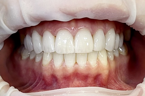
Квалификация стоматологов. В стоматологии с высокими ценами может работать специалист высокого уровня, который создает пломбы, полностью восстанавливающие эстетику и функциональность зубного ряда. Его образование и дополнительное обучение стоит недешево и «ложится на плечи» клиники.
Месторасположение клиники. Влияет на стоимость аренды и в итоге на цифры в прайсе. Поэтому если вы хотите сэкономить на лечении, стоит поискать стоматологию подальше от центра города.
Материалы и оборудование. Большинство долговечных материалов и приборов для пломбирования зубов и каналов производится за рубежом. Дополнительная статья расхода – дентальный микроскоп, позволяющий проводиться более точные манипуляции, максимально сохранять здоровые ткани и удалять пораженные. Риск рецидива после лечения кариеса и каналов под микроскопом ниже, однако цена будет выше.