
Станция метро Пушкинская — это часть пересадочного узла, куда можно добраться по Таганско-Краснопресненской, Замоскворецкой и Серпуховско-Тимирязевской линиям. Добраться пешком от соседних станций метро или на машине можно, двигаясь по Тверской улице до одноименного бульвара, памятника Пушкину и здания газеты Известия.
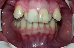
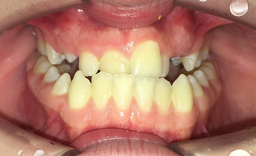
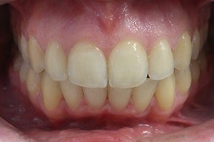
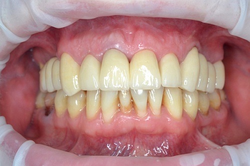
Испытывать небольшое волнение в кресле дантиста – это нормально, однако если при виде стоматолога вы испытываете головную боль, тошноту, панику, мышечное напряжение, повышенное потоотделение или иные вегетативные нарушение, речь идет не просто о страхе, а фобии, одном из видов нервно-психического расстройства. В этом случае не стоит избегать лечения зубов, необходимо пройти медикаментозную или терапевтическую терапию.
Психотерапевт поможет понять причины возникновения дентофобии и преодолеть страх. При тяжелых формах болезни эффективны антидепрессанты, которые устраняют панику и тревожность, нормализуя выработку серотонина. Непосредственно перед началом стоматологического лечения могут быть рекомендованы седативные препараты и натуральные успокаивающие средства.