
Станция Царицыно расположена в одноименном районе на юге города, имеет выходы на Луганскую и Каспийскую улицы, куда можно доехать по «зеленой» Замоскворецкой линии или с помощью Калужско-Рижского диаметра. Тем, кто собирается добираться на личном транспорте, стоит ориентироваться на расположение музея заповедника Царицыно.
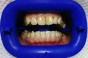
Рекламный слоган «Зубы за 1 день» - не просто маркетинговая уловка. Современные технологии действительно позволяют изготовить протез или коронку за 1-2 дня. В этом случае речь идет о съемном акриловом или нейлоновом иммедиат-протезе «бабочке», полном или частичном, а также о цельных керамических вкладках, коронках, винирах и мостах, выполненных по технологии CAD/CAM. Так называют систему компьютерного проектирования и автоматизированного производства, для которой необходимы 3D-сканер, компьютерная программа-моделировщик и роботизированный фрезерный станок.
Сперва стоматолог готовит зубы пациента под установку протеза, затем снимает цифровой слепок при помощи сканера. На его основе создает виртуальную модель конструкции, рассчитывает ее размеры, форму, распределение жевательной нагрузки. Цифровой план протеза отправляется в лабораторию, где изделие всего за 10-20 минут вытачивается из цельного керамического блока, затем шлифуется и полируется. Таким образом, все этапы работы можно уложить в 1 рабочий день так, чтобы утром пациент пришел на подготовку, а вечером получил протез.