
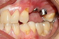
Станция Воробьевы горы Сокольнической линии метро располагается на границе районов Хамовники, Раменки и Гагаринского района. Выходит к Лужнецкой и Воробьевской набережной, спорткомплексу «Лужники». Как выбрать стоматологию в этом районе с доступными ценами и недалеко от метро?
Стоматологи утверждают, что лечение и даже удаление зубов (кроме сложного удаления зубов мудрости) абсолютно безопасно для мамы и малыша в период беременности. Конечно, хорошо, если женщина прошла обследование ротовой полости еще на этапе планирования, но, если это не удалось, бояться нечего.
Самым безопасным для стоматологического лечения является второй триместр, когда у плода уже сформировались жизненно важные органы, а до родов еще осталось много времени. Но при необходимости, а также после разрешения гинеколога и стоматолога, вылечить зуб можно на любом месяце беременности.