Ассоциация стоматологических клиник
Улица 39-й Гвардейской Дивизии

Стоматологии в районе станции «Улица 39-й Гвардейской Дивизии»

В данный момент клиники рядом со станцией «Улица 39-й Гвардейской Дивизии» отсутствуют. Скоро на этой странице появятся лучшие клиники в шаговой доступности от метротрам «Улица 39-й Гвардейской Дивизии»
Но мы подобрали для вас ближайшие клиники:

Предложения из ближайших клиник

Профсоюзная
Каждый пациент важен!
Садыжанов Бори Бориевич
Главный врач, стоматолог-хирург

Стоматологическая клиника «Дантисты» на Рабоче-Крестьянской улице предлагает широкий спектр услуг терапевтической, эстетической, хирургической и ортопедической стоматологии. Вы можете установить протез на имплантах, различные виды брекетов и элайнеры, пройти лечение десен. На все виды работ предоставляется гарантия. Клиника открыта ежедневно с 8 утра до 9 вечера, поэтому вы можете вылечить зуб до или после работы в удобное для себя время.

Важной особенностью стоматологии является присутствие индивидуальных координаторов, которые обеспечат вам комфорт на протяжении всего периода лечения, напоминая о визите, помогая в соблюдении рекомендаций врача и отвечая на все возникающие вопросы.

Мы установили доступные цены на услуги, а также систему скидок и акций, предоставили возможность оплаты в рассрочку. Запишитесь на бесплатную первичную консультацию и пройдите качественное лечение не в ущерб кошельку.

Узнать больше
Свернуть описание
Профсоюзная
Садыжанов Бори Бориевич
Работы наших врачей
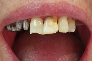
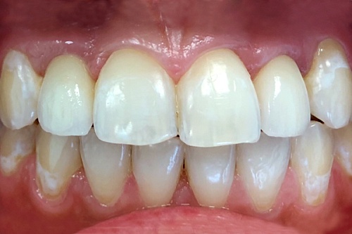
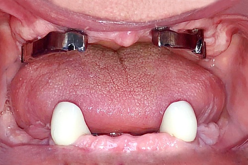
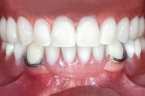
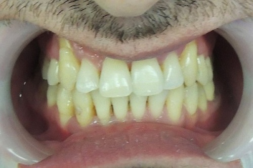
Протезирование фронтальных зубов коронками на имплантах
Установка коронок на зубы и импланты, пациент 47 лет.
Профсоюзная
Протезирование фронтальных зубов коронками на имплантах До
Протезирование фронтальных зубов коронками на имплантах После
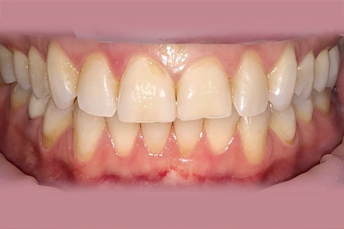
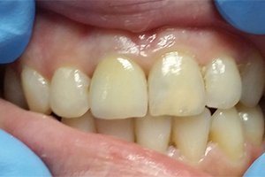
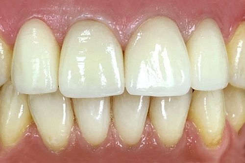
Установка на зубы виниров E-max
Установка 24 винира E-max цвета Bleach, женщина 34 года.
Профсоюзная
Установка на зубы виниров E-max До
Установка на зубы виниров E-max После
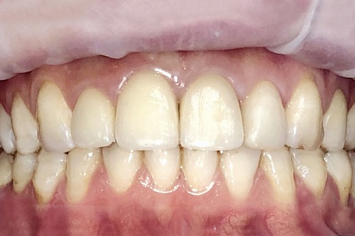
Протезирование зубов керамическими коронками
Установка 4-х керамических коронок, мужчина 52 года.
Профсоюзная
Протезирование зубов керамическими коронками До
Протезирование зубов керамическими коронками После
Лечение скученности зубов брекетами In Ovation R
Установка металлических самолигирующих брекетов In Ovation R на верхнюю и нижнюю челюсть при скученности зубов из-за дефицита места в зубном ряду у мужчины 31 года.
Показать описание
Свернуть описание
Профсоюзная
Лечение скученности зубов брекетами In Ovation R До
Лечение скученности зубов брекетами In Ovation R После
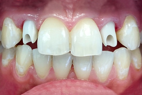
Восстановление верхнего центрального резца коронкой
Протезирование верхнего центрального резца коронкой на культевой вкладке у женщины 30 лет.
Профсоюзная
Восстановление верхнего центрального резца коронкой До
Восстановление верхнего центрального резца коронкой После
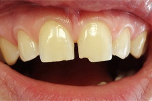
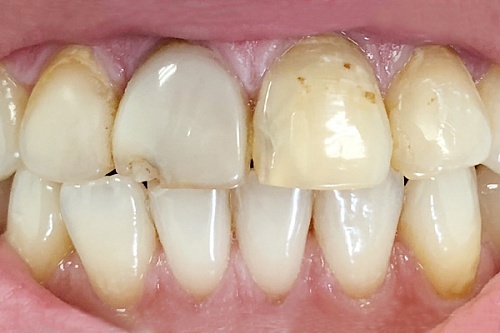
Реставрация сколов передних зубов
Восстановление сколов режущего края передних зубов у женщины 32 лет.
Профсоюзная
Реставрация сколов передних зубов До
Реставрация сколов передних зубов После
Установка зубных коронок на культевых вкладках
Протезирование верхней челюсти путем установки зубных коронок на культевых вкладках у женщины 61 года.
Профсоюзная
Установка зубных коронок на культевых вкладках До
Установка зубных коронок на культевых вкладках После
Установка протезов на обе челюсти
Установка съёмного протеза на балках на верхнюю челюсть и частичного съемного протеза с опорой на коронки на нижнюю, женщина 68 лет.
Показать описание
Свернуть описание
Профсоюзная
Установка протезов на обе челюсти До
Установка протезов на обе челюсти После
Протезирование коронками на имплантатах
Установка коронок на имплантах, женщина 29 лет.
Профсоюзная
Протезирование коронками на имплантатах До
Протезирование коронками на имплантатах После
Проверенные клиники
Отбираем стоматологии на основе независимой оценки услуг.
Отличные врачи
Проверяем информацию об образовании и опыте работы специалистов.
Реалистичные цены
Никаких скрытых доплат + регулярные выгодные предложения от клиник.
Удобное расположение
Клиники в 2-5 мин от метро, с парковкой, если вы добираетесь на машине.
Расположение
Станция 39-й Гвардейской Дивизии находится между одноименной улицей и проспектом Ленина. Выходит к улицам Семашко, Кузнецова, Веселая, Репина. Недалеко от станции располагается парк 70-летия Победы и завод Красный Октябрь.
Добавить клинику
Оставьте заявку: мы ответим на ваши вопросы и подберём оптимальный план сотрудничества.
Добавить клинику
Как правильно чистить брекеты

Брекет-система делает вашу улыбку безупречной, но требует более тщательного подхода к гигиене полости рта. Вам потребуется специальная щетка для брекетов (с редкими пучками), зубной ершик, зубная нить и ирригатор. Ежедневный уход выглядит так:

  • С помощью ершика удалите остатки пищи и налет между замками брекет-системы и деснами.
  • Очистите зубы с помощью щетки и любимой пасты.
  • Пройдитесь ирригатором по зубам на верхней и нижней челюсти, обработайте не только переднюю и заднюю, но и боковые поверхности.
  • Уберите налет из межзубного пространства с помощью зубной нити.

Вся процедура занимает не более 4-5 минут, повторять ее следует утром и вечером. Если у вас есть вопросы по уходу за полостью рта и брекетами, задайте их своему стоматологу-ортодонту.


Рассчитайте предварительную цену на любые услуги клиники онлайн за 20 секунд

Первый приём врача-стоматолога бесплатно!
Осталось
свободных мест
11