
Станция метро Отрадное расположена в одноименным районе на северо-востоке Москвы, куда можно добраться по Серпуховско-Тимирязевской линии или по МЦК до станции Владыкино, а затем перейти на «серую» ветку и проехать еще 1 станцию. Тем, кто добирается на машине, ориентиром будут улица Хачатуряна и улица Декабристов.
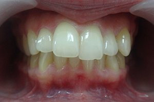
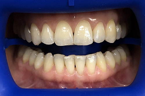
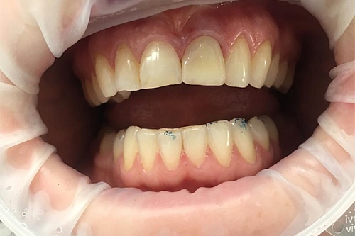
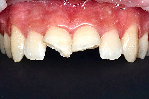
Под седацией пациент находится в полудреме: сохраняет возможность отвечать на просьбы врача, но не испытывает дискомфорта и стресса от медицинских манипуляций. С помощью метода возможно удалить восьмерки, вживить имплант, провести лечение кариеса у ребенка, при этом не оставив негативных воспоминаний от вмешательства. Взрослым седативный препарат вводится внутривенно, детям – через дыхательную маску.
Стоматологи рекомендуют метод для лечения детей до 14 лет, а также легко возбудимых пациентов с дентофобией. Большинство препаратов для седации хорошо переносятся, не вызывают привыкания и аллергии. Противопоказанием к седации является возраст до 3 лет, эпилепсия, респираторные заболевания, бронхиальная астма, первый триместр беременности, некоторые патологии сердца и сосудов.