
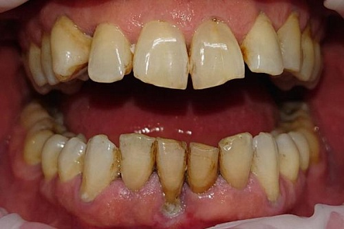
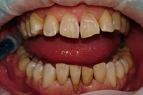
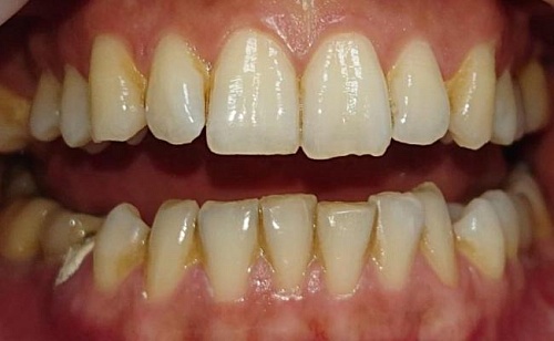
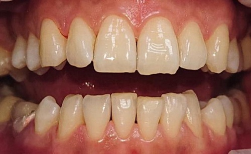
Протезы делятся на два типа – съемные и несъемные.
Съемные протезы из акрила, акриловых смол (Acry-free) легкие и стоят дешевле, но недолговечны. Нейлоновые более гибкие, удобные и служат до 5 лет, однако из-за мягкости материала не годятся для полной реставрации челюсти.
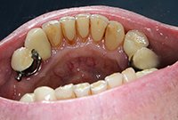
Каркас бюгельных протезов изготавливается из металла и акрила, а закрепляется с помощью крючков, замков или коронок. Срок службы – до 10 лет. Крепятся на здоровые единицы, подходят только для частичного восстановления.
Несъемные протезы – это мосты, коронки и покрывные протезы на имплантах. Мосты крепятся на соседние зубы, которые для этого обтачивают, а коронки – на вживленные штифты-импланты.
Метод покрывной имплантации позволит восстановить весь зубной ряд. Протез также фиксируется на вживленных в челюсть имплантах – например, по технологии All-on-4 их требуется всего 4. Это удобно, эстетично, но и стоит недешево.
У каждого вида реставрации есть свои плюсы и минусы. Выбирайте для протезирования только проверенные стоматологии у метро Комсомольская!