
Станция метро Партизанская находится на востоке Москвы в районе Измайлово рядом с музеем-заповедником Измайлово. Добраться можно по Арбатско-Покровской линии, по МЦК от станции Измайлово или на машине, двигаясь по Измайловскому шоссе.
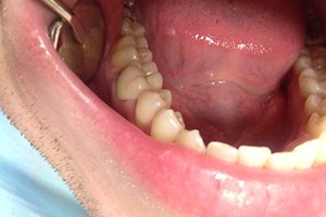
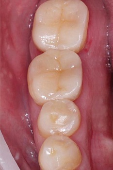
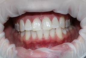
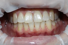
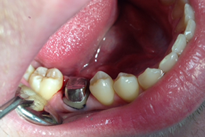
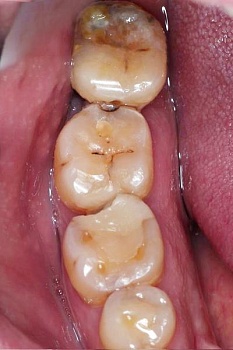
Световая, или композитная пломба служит в среднем 7-10 лет, но может и дольше, если сама она небольшого размера, а ее владелец тщательно следит за гигиеной полости рта. Стоматолог может рекомендовать поменять пломбу, если она треснула, выпала, зуб начал болеть или реагировать на температурные раздражители.
Если вас беспокоит состояние давно установленной пломбы, проконсультируйтесь со стоматологом. Он осмотрит ее края, насколько плотно она прилегает к зубу, проверит, есть ли места, где бактерии могут проникнуть в зуб и вызвать развитие кариеса. Возможно, для точной диагностики понадобится сделать прицельный рентген. После этого врач определит, пришло ли время заменить пломбу, и посоветует лечение.